„Steigende Masernzahlen in Österreich“ – das stand gestern in der Zeitung. Dort stand auch

„Sowohl in Österreich als auch in weiten Teilen Europas gab es im vergangenen Jahr wieder mehr Masernfälle. Das ist auf einen mangelhaften Durchimpfungsgrad zurückzuführen.“

und

„Erstaunlicherweise sei gerade bei Personen mit hohem Bildungsniveau eine solche Impfskepsis abseits der Kenntnisnahme aktueller Zahlen oder eindeutigen wissenschaftlichen Erkenntnisse verbreitet.“

Das ist eine höchst absurde Situation. Einerseits ist da eine Krankheit wie die Masern: Hochansteckend, äußerst unangenehm mit der Chance auf lebensbedrohliche Komplikationen und schweren Spätfolgen wie Lähmungen oder geistigen Behinderungen und einer Sterblichkeitsrate von einem Todesfall pro 10.000-20.000 Erkrankungen. Andererseits gibt es eine Impfung die vor einer Erkrankung an Masern schützt. Und trotzdem entscheiden sich Eltern dafür, ihre Kinder nicht zu impfen. Und es sind Eltern mit „hohem Bildungsniveau“, die solche Entscheidungen treffen (Was ich allerdings schwer bezweifle. Nach irgendeiner klassischen Definition mögen solche Eltern zwar „gebildet“ sein – aber wer so wenig Ahnung von Naturwissenschaft und Medizin hat und seine Kinder absichtlich der Gefahr einer schweren bis tödlichen Erkrankung aussetzt ist viel, aber definitiv nicht „gebildet).

Ich weiß, ich hab das alles im letzten November schon mal gesagt. Aber es von so großer Bedeutung, dass ich es immer wieder sagen werde: Impfungen sind wichtig! Impfungen gehören zu den großen Errungenschaften der Menschheit und haben vermutlich mehr Leben gerettet, als alles andere was sich irgendwelche klugen Köpfe im Laufe der Zeit ausgedacht haben. Impfen ist wichtig. Und zwar nicht nur, damit man selbst nicht krank wird, sondern für die ganze Gesellschaft. Je mehr Menschen geimpft sind, desto schlechter kann sich eine Krankheit verbreiten. Und dass die Masernzahlen jetzt wieder ansteigen ist ein Zeichen dafür, dass nicht genug Menschen geimpft sind.

Ich kann nur nochmal sagen wie absurd das ist. Da existiert eine schwere Krankheit die zum Tod führen kann. Wir wissen wie wir diese Krankheit bekämpfen und sogar früher oder später ausrotten können. Wir wissen, was wir tun müssen, damit keiner mehr unter dieser Krankheit leiden muss. Wir wissen es – und trotzdem tun es immer mehr Menschen nicht. Weil sie auf irgendwelche Verschwörungstheoretiker reingefallen sind, die ihnen erzählt haben, die bösen Ärzte würden die Leute mit Impfungen „vergiften“ und krank machen. Weil sie keinen Schimmer davon haben, wie eine Impfung funktioniert; wie Medizin funktioniert und wie die Natur funktioniert. Weil sie so sehr darauf bedacht sind nur „sanfte“ Medizin zu verwenden, dass sie dafür den Tod ihrer Angehörigen und den Tod anderer Menschen in Kauf nehmen.

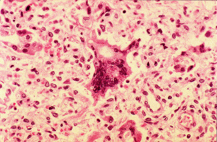
Riesenzelle bei einer Masern-Pneumonie (Bild: CDC/ Dr. Edwin P. Ewing, Jr., Public Domain)
Riesenzelle bei einer Masern-Pneumonie (Bild: CDC/ Dr. Edwin P. Ewing, Jr., Public Domain)

Und gerade bei den Masern ist die Impfverweigerung besonders absurd. Hier hält sich ja seit Jahren hartnäckig das Gerücht, die kombinierte Masern-Mumps-Röteln-Impfung würde Autismus verursachen. Dass die „Daten“ auf denen diese Behauptung basiert von Anfang an nicht sehr aussagekräftig waren und sich später als gefälscht herausgestellt haben; dass eine viel größere Zahl von Daten belegt dass es keinen Zusammenhang zwischen Autismus und der Masern-Impfung gibt: Das scheint niemanden zu interessieren…

Aber wer doch an der Realität interessiert sein sollte, kann sich dieses sehenswerte Video von Healthcare Triage ansehen. Dort wird der ganze „Die Masern-Impfung erzeugt Autismus“-Geschichte von Anfang an erklärt und widerlegt:

Aber ich bin skeptisch ob sich die ganzen selbstgerechten Impfverweigerer davon beeindrucken lassen. Und so werden Menschen weiterhin krank werden und vielleicht sterben an einer Krankheit, an der niemand mehr erkranken und durch die niemand mehr sterben müsste…

Von admin

276 Gedanken zu „Video: Masern, Impfung und Autismus“
  1. Das Schlimme ist, dass man bei solchen Eltern nicht mal mehr mit der Autorität das Hausarztes durchkommt. Denn diese Eltern sind sehr stolz darauf, sich „selbst informiert“ zu haben. Wenn man dann fragt, wo, drucksen sie meistens herum, eine Antwort bekommt man eher selten.

    Jeglicher Versuch, medizinisch-wissenschaftlich zu argumentieren wird dann mit altbekannten Standard-Impfgegner-Argumenten pariert, dessen meistgebrauchtes ist, man (also der Arzt) sei ja schon an der Uni von der Impfhersteller-Industrie indoktriniert worden und gar nicht mehr fähig, selber zu denken und sich ein Bild zu machen. Auch kommt oft der Tellerrand, man müsse doch mal „über den eigenen Tellerrand schauen“. Und schliesslich werden die Wirksamkeit der Impfung und die Gefahren des Nicht-Impfens als „Meinung“ des Arztes dargestellt („wir haben aber eine andere Meinung und das ist unser gutes Recht“).

    Auch auf die Hinweise, wer eigentlich hinter dieser Anti-Impf-Propaganda steckt und wie diese Leute daran verdienen und untereinander vernetzt sind, werden die Eltern in einschlägigen Foren mittlerweile gründlich vorbereitet – das ist selbstverständlich alles nur pöhse Propaganda von Impfmafia und Regierung.

    Immerhin: der Besuch solcher Foren scheint eine ähnliche Wirkung wie das Impfen zu haben: die Eltern werden sehr gründlich gegen jegliche Vernunft immunisiert – meist mit lebenslang andauernder Wirkung.

  2. Da haben die Verbreiter von Pseudomedizin der Gesellschaft ja ein schlimmes Schlamassel eingebrockt. Es wäre wirklich höchste Zeit, dass derartiger Unfug endlich auch strafrechtliche Konsequenzen nach sich zieht und das Praktizieren und Verbreiten von pseudomedizinischen Behandlungen nicht auch noch staatlich gefördert wird.

  3. ‚@Bianca

    hier die Rechtlage zur Masernparty, falls du mal auf sowas stößt:

    Vorsätzliche Körperverletzung § 223 StGB (da willentliche Infizierung)
    Je nach Schwere des Krankheitsverlaufs auch gefährlichen Körperverletzung § 224 StGB oder sogar schwere Körperverletzung § 226 StGB
    Misshandlung von Schutzbefohlenen § 225 StGB (da Kinder)
    Körperverletzung mit Todesfolge nach § 227 StGB (sollte das Kind versterben)

    Strafmaß für diese Delikte 3 Monate bis 10 Jahre Freiheitsentzug.

    Hier geht es nicht um kleine Ordnungswidrigkeiten.

  4. ‚@ Bianca:

    Am besten sind ja die Eltern, die ihre Kinder auf Masernparties oder sonst welche Ansteckparties mitnehmen.

    Wer sein Kind auf eine Masernparty schickt, macht sich der gefährlichen Körperverletzung schuldig, in Deutschland sind dafür Gefängnisstrafen zwischen 6 Monaten und 10 Jahren fällig. Das Kind muss sich nicht einmal anstecken, der Versuch der Eltern reicht aus. (§ 224 StGB)

  5. Aber was macht man, wenn die eigenen Neffen und Nichten nicht geimpft sind? (Es sind ja nur Kinderkrankheiten, da müssen die durch um bestimmte Entwicklungsschritte durchzumachen – so die Argumentation der Eltern, vom entsprechend ausgesuchten Arzt abgesegnet…)

    Ich habe 2-3 Mal versucht das anzusprechen und den Irrtum zu erklären auch auf entsprechende Publikationen etc hingewiesen, aber das artete jedes Mal in handfesten Krach aus und die Eltern weigern sich, sich anderweitig zu informieren. Ich möchte aber nur ungern riskieren, dass ich die Kinder nicht mehr sehen kann, weil die Eltern nicht mehr mit mir sprechen. Die Kinder sind nämlich sehr nett…
    (Die Eltern sind übrigens das, was man normalerweise als eher gebildet bezeichnen würde.)

  6. Das alles ist sehr deprimierend. Wenn man mit der allgemein bei den Leuten üblichen und allgegenwärtigen Esoterikaffinität konfrontiert wird, fühlt man sich manchmal bzw. immer öfter als Einzelkämpfer auf völlig verlorenem Posten.

    Ein sehr guter Artikel zu dem Thema ist auch hier:

    https://hpd.de/node/17759?page=0,0

    Und ja, alle halten Esoterik für eine gleichberechtigte „Meinung“ zur Wissenschaft.

  7. ‚@ noch´n Flo

    Die Autorität des Hausarztes?
    Wie kann man jemanden respektieren der sein Mäntelchen in jeden für ihn vorteilhaften Wind hängt?
    So ein Typ ist doch eigentlich recht lächerlich trotz weißem Mantel und autoritärem Gehabe.
    Es gibt keine wirklich fundierten Studien die beweisen dass
    Geimpfte über lange Zeit einen gesundheitlichen Vorteil gegenüber nicht Geimpften haben. Diese Studien werden einfach nicht gemacht und der Grund liegt auf der Hand. Und bis dahin ist es unbewiesen. Das ist Wissenschaft junger Freund und nicht dieses läppische Getue.
    Wissenschaft braucht Evidenz. Hier geht es um Tatsachen und Beweise. Nur weil Du mit etwas Kohle machen kannst ist es noch lange nicht bewiesen.

    1. ‚@alabere: „Es gibt keine wirklich fundierten Studien die beweisen dass Geimpfte über lange Zeit einen gesundheitlichen Vorteil gegenüber nicht Geimpften haben. Und bis dahin ist es unbewiesen. Das ist Wissenschaft junger Freund und nicht dieses läppische Getue.“

      Ok. Ich wollte dir eigentlich antworten. Aber dann habe ich es mir doch anders überlegt. Wenn du nicht bereit bist, die Realität zu sehen (https://www.rki.de/DE/Content/Infekt/Impfen/Bedeutung/Schutzimpfungen_20_Einwaende.html;jsessionid=7FBB777DA008508B481750B6DD3628FA.2_cid372#doc2378400bodyText2), dann wird nichts, was ich oder sonst jemand hier sagt, dich von deiner Meinung abbringen, dass die Impfung nur eine böse Verschwörung der geldgierigen Pharmamafia ist. Ich wünsche dir viel Spaß mit dieser Privatrealität und hoffe, dass du nicht krank wirst.

  8. ‚@alabere

    Eier hier nicht rum und rück mit der Sprache raus. Was du eigentlich sagen wolltest ist doch:
    „Impfen ist eine Erfindung der Pharma-Industrie und hilft gar nicht und eigentlich blick ich voll durch, denn ich hatte in Bio in der Schule mal ne 2“

    😀

  9. ‚@ KassenwarT

    So einfach ist es leider nicht. Was ich meine ist nur dass es keine wirklich gesicherte Beweise gibt dass die Impfungen einen wirklichen gesundheitlichen Vorteil bringen über einen
    längeren Zeitraum. Es gibt hier zwei Denkrichtungen wobei jede gute Argumente für ihre Sicht der Dinge hat.
    Klärung könnten nur umfangreiche Studie bringen in denen man Geimpfte (mindestens ein paar hundert, besser mindestens 1000) mit Ungeimpften über einen langen Zeitraum (ich denke da an mindestens 10-15 Jahre) beobachtet und diese Beobachtungen auswertet. So geht Wissenschaft vor.
    Alles andere ist Unfug. Profitmacherei die von der wissenschaftlichen Substanz mit esoterischem Blödsinn auf ähnlicher Stufe steht. Nicht der Rede wert.
    Warum wurde die Pockenimpfung nach Jahrzehnten eingestellt. Nicht weil die Pocken ausgestorben waren, sondern weil sich die Impfung als klar schädlich herausgestellt hat. Es war sozusagen eine Studie bei der die Teilnehmer zur Teilnahme gezwungen wurden.
    Und das Ergebnis war negativ für die Impfung.
    Also kann man in einer demokratischen Gesellschaft nur so vorgehen dass man Menschen die sich freiwillig impfen lassen, von denen es genug gibt mit Denen die sich nicht impfen lassen, die auch verfügbar sind vergleicht.
    Und diese Studien gibt es bis dato nicht und deshalb muss man der wissenschaftlichen Redlichkeit halber sagen dass keine klaren Beweise existieren. Ist das so schwer zu verstehen?

  10. ‚@alabere

    Gehen wir mal von der Annahme aus, dass es gesunden Menschen besser geht als kranken. Weiterhin möge die Annahme gelten, dass tödliche Krankheiten die durchschnittliche Lebensdauer verkürzen. Als drittes mag gelten, das Wohlergehen und langes Leben von den meisten Menschen als Vorteil gesehen wird. Daraus folgt, dass die Abwesenheit von Krankheiten, insbesondere von tödlichen von Vorteil für den Menschen ist. Da es keine andere belegbare Ursache für das Aussterben der Pocken in freier Wildbahn gibt, als massenhafte Impfung dagegen, ziehe ich die Schlussfolgerung, dass zumindest in diesem Fall das Impfen einen gesundheitlichen Vorteil gebracht hat.

  11. ‚@alabere

    doch so einfach ist es.
    Es gibt ganze Bücherwände bzw. terabyte an wirklich gesicherten Beweise. Jeder geimpfte und nicht erkrankte ist einer. Pocken? Kein Thema mehr, da ausgestorben. Polio, Diphterie, Tetanus? Bis vor wenigen Jahrzehnten ein enormes gesundheitliches Problem auch in unseren Breiten. Heute? Faktisch weg. Die „tödlichste“ aller Infektionskrankheiten (Tollwut) ist überhaupt nur durch Impfung oder aktive Immunisierung mittels AK zu behandeln (sofern man sich beeilt), sonst zu 100% tödlich im Verlauf.
    Überleben ist der wesentlichste aller gesundheitlichen Vorteile!
    Nein, es gibt nicht 2 Denkrichtungen mit guten Argumenten. Eine hat Argumente, die andere hat nur unbelegte Meinungen.
    DIr ist klar, dass auch die Nicht-Geimpften von den Geimpften profitieren?

  12. ‚@ Florian Freistetter

    Danke für Deine Gesundheitswünsche.
    Ich teile sie mit Dir und hoffe auch dass Dir die Impfungen nicht schaden.
    Nur weil etwas als offizielle Meinung gilt ist es deshalb aber noch lange nicht wahr. Wenn man sich das Vorgehen der
    staatlichen Institute bei Schweinegrippe, BSE, Vogelgrippe und ähnlichen betrachtet und da keine Zweifel auftauchen, dann ist Einem nicht zu helfen. Was hier gelogen und
    betrogen wurde geht auf keine Kuhhaut. Und das sind die selben Leute die die Impfungen propagieren.
    Es gibt jede Menge hochrangige Wissenschaftler und erfahrene Ärzte die das nur bestätigen können.
    Der Typ z.B. der Tamiflu, ein „Medikament“ das von vielen Ärzten als nutzlose und gefährlich bezeichnet wird, entwickelt hat, hat 2012 knapp 6 Millionen Dollar „verdient“. Und kommen bei mir halt Zweifel auf was die Redlichkeit der heutigen Wissenschaft betrifft.
    Die „Cui Bono“ Frage ist hier recht einfach zu beantworten.
    Und wir sind recht sicher nicht dabei.

  13. Warum wurde die Pockenimpfung nach Jahrzehnten eingestellt. Nicht weil die Pocken ausgestorben waren, sondern weil sich die Impfung als klar schädlich herausgestellt hat

    Impfen ist immer eine Risikoabwägung. Als die Pocken praktisch ausgerottet waren, machte es keinen Sinn mehr zu impfen, da mehr Menschen durch die Impfungen zu schaden kommen würden als die eigentliche Krankheit.

    Klärung könnten nur umfangreiche Studie bringen[…]

    Wieviele Daten brauchst Du denn noch? Pocken sind ausgerottet, Polio ist nahezu ausgerottet. Und von vielen anderen Krankheiten wie z.B. Masern hört man in unserer Gesellschaft auch nur noch gelegentlich.

    […] dass man Menschen die sich freiwillig impfen lassen, von denen es genug gibt mit Denen die sich nicht impfen lassen, die auch verfügbar sind vergleicht.

    Geht ganz einfach. Man schaue sich die Statistiken zur Durchimpfungsrate in anderen Ländern an und vergleiche sie mit der Anzahl der entsprechenden Krankheitsfäle.

  14. ‚@ Kassenwart

    Das klingt alles ganz gut stimmt aber leider nicht.
    Es gibt recht klare Hinweise dafür dass man Polio auch
    auf die Vergiftung durch DDT zurückführen kann.
    Bei den Kälber z.B. ist in der Literatur die „Kälberlähme“
    durch die Vergiftung mit DDT unwidersprochen angeführt.
    Und als man erkannte dass diese „Errungenschaft“ hochgefährlich und man nicht mehr so sorglos damit umging ging auch die Kinderlähmung zurück, und zwar BEVOR die Impfung propagiert wurde.
    Tetanus zu bekommen ist so wahrscheinlich wie mit dem Flugzeug abzustürzen und von der Impfung kann man Herzrythmusstörungen bekommen. Die obligate Impfung auch bei kleinsten Wunden ist schlicht Blödsinn.
    Bei Tuberkulose war die Impfung sicher schädlich.
    Das Zurückgehen dieser Krankheit, die immer als die Krankheit der armen Leute galt ist klar der heutige Standard von Wohnung und Ernährung.
    Man sollte bei allen diesen Dinge einfach ganz genau hinsehen und nicht auf die Propaganda reinfallen.
    Dann ergibt sich ein ganz anderes Bild.
    Aber das ist Vielen einfach zu mühsam.

  15. ‚@alabere: Es gibt >100.000 Studien zum Thema (versch. Impfungen), etliche davon Longitudinalstudien und Vergleichsstudien. Dabei fällt auch mal die eine oder andere Impfung durch das Qualitätsraster.

    Wenn Du spezifische Impfungen & Studien diskutieren möchte, bitte sehr. Aber Du merkst hoffentlich, dass Deine platten Aussagen hier auf mehr Widerwille als Diskussionsbereitschaft stösst?

  16. recht klare Hinweise dafür dass man Polio auch
    auf die Vergiftung durch DDT zurückführen kann.

    Dir ist schon klar, dass Gifte ebenfalls Lähmungen verursachen können. Das ist dann aber noch lange kein Polio. Aber ist ja klar: Der Poliovirus hat natürlich nichts mit Polio zu tun.

    Man sollte bei allen diesen Dinge einfach ganz genau hinsehen und nicht auf die Propaganda reinfallen. […]Aber das ist Vielen einfach zu mühsam

    Man ist das gut das wir Checker wie Dich unter uns haben, die den Ärzten und Biologen erklären, was wirklich Sache ist.

  17. „alabere“ wenn das nicht mal ein Trollnick ist… Zumindest ist es Gelabere, was der Schreiber absondert (was zum Namen passt).

    Also entweder soll nur provoziert werden, oder er (sie?) ist schon derart hirngewaschen, dass Argumente und jede Tatsache abperlt. In beiden Fällen, und das zeigen die Posts, ist es zwecklos, überhaupt eine Diskussion aufzunehmen.

  18. ‚@ CM

    Kontroverse Diskussionen sind in der Wissenschaft unentbehrlich. Hier wem gefallen zu wollen ist absolut kontraproduktiv. Wissenschaft ist ein derartiger Massenbetrieb geworden dass er mit allen diesen schönen menschlichen Dingen wie Profitgier, Betrug, Geltungsbedürfnis und ähnlichem behaftet ist.

  19. ‚@ Compuholic

    Es gibt einfach auch andere Ansichten die sich sehr gut belegen lassen. Solche Ansichten einfach als verrückt oder „gehirngewaschen“ zu bezeichnen hat mit Wissenschaft sicher nichts zu tun.
    Insgesamt kann man zu den Impfungen sicher sagen dass die Emphase auf die Erreger und die Nichtbeachtung von Lebensumständen und besonders der Toxikologie ein völlig verzerrtes Bild der Wirjklichkeit entstehen lässt.
    Was niemandem nützt außer den Betreibern.

  20. Bei so einem haarsträubenden Gelaber hilft wirklich nur ignorieren, ich schliesse mich Florian an und werde nicht das Wort an einen solchen Typen richten.

  21. Man sollte bei allen diesen Dinge einfach ganz genau hinsehen und nicht auf die Propaganda reinfallen.

    Und DAS von jemand, der/die offensichtlich massiv Propaganda betreibt! Ich bin für Rausschmiss! Wer noch? Hand hoch, bitte

    1. ‚@wereatheist: „Ich bin für Rausschmiss! Wer noch? Hand hoch, bitte“

      Ob und wann jemand hier rausfliegt bestimme ich – allein und ganz undemokratisch. Ihr könnt euch die Abstimmung also sparen…

  22. Bei den Kälber z.B. ist in der Literatur die “Kälberlähme”
    durch die Vergiftung mit DDT unwidersprochen angeführt.
    Und als man erkannte dass diese “Errungenschaft” hochgefährlich und man nicht mehr so sorglos damit umging ging auch die Kinderlähmung zurück, und zwar BEVOR die Impfung propagiert wurde.

    mWn ging die Häufigkeit der Kinderlähmung schon zurück, während der Gebrauch von DDT weiter ANSTIEG.
    Und nach Einsatz des Impfstoffs noch weiter bis zur Beinahe-Nichtsichtbarkeit. Was Du nur für einen Unsinn laberst.

  23. Oh nein…. nicht schon wieder der DDT Unsinn …
    Fällt denen eigentlich nie was anderes ein?

    Und was den Beweis für die Nützlichkeit der Impfungen angeht:
    Die Ausrottung der Pocken wurden ja schon erwähnt.

    „Tetanus zu bekommen ist so wahrscheinlich wie mit dem Flugzeug abzustürzen und von der Impfung kann man Herzrythmusstörungen bekommen. „

    Nein. Tetanus kann man überall bekommen, wo sich Tiere rumtreiben. Eine kleine Verletzung bei der Gartenarbeit reicht zB.

    Was Polio angeht:
    In Indien hat es in den letzten Jarhzehnten grosse Impfkampagnen gegeben.
    Resultat: Seit fünf Jahren kein neuer Poliofall mehr.

    Gegenbeispiel Pakistan:
    Seit dort bestimmte religiöse Gruppen die Leute vom Impfen (zum Teil mit Gewalt) abhalten nimmt die neuinfektionsrate bei Polio wieder massiv zu.

  24. Mannomann, da Vüt ja das Deja!

    Hier wird genau die gleiche Diskussion geführt wie letzten November, nur dass die richtig bekloppten Thesen viel schneller kamen ….

    Traudl? Hallo?

  25. Wurde DDT nicht viel zu spät eingeführt, um für Polio verantwortlich zu sein?
    Oder übersehe ich da etwas?

    Nö. Die Verbreiter der DDT=Polio These mögen fürderhin öffentlich mit Katzenscheiße beworfen werden.

  26. Ich weiß ja, dass persönliche Anektdoten in sachlichen Diskussionen kein Gewicht haben, aber die möchte ich trotzdem erzählen :

    Wenn jemand Impfgegner sein darf, dann ich.
    Ich bin gegen Masern geimpft worden, hab Masern bekommen, ich wurde gegen Röteln geimpft und hab Röteln bekommen und wer wurde dieses Jahr gegen Keuchhusten geimpft und hat die volle Dröhnung abbekommen.. Genau… ich.

    Meinen Sohn habe ich trotzdem laut Stiko impfen lassen und dieses Jahr hatte ich den Nutzen vor Augen.

    Wie gesagt ich hatte diese Jahr Keuchhusten. Keuchhusten wünsche ich niemanden, man wacht mitten in der Nacht auf hustet sich die Lunge aus dem Leib, ich habs sogar geschafft mir ne Rippe dabei zu brechen. 6 Wochen unerträglich, meine Ärztin ist( weil ich ja geimpft war) nicht darauf gekommen, dass es Keuchhusten sein könnte, also erst 2 falsche Antibiotika, bis ich nach 8 Wochen (bei abklingender Symptomatik)dann mal darauf behandelt wurde. Gehustet hab ich weiterhin ne ganze Weile jetzt 6Monate später bin ich wieder gesund.

    Im Vergleich ;
    Der Lütte wurde positiv getestet und das wars.
    Er hat ein bißchen Husten gehabt. Der Husten war so minimal, dass ichs nicht mal als angehende Erkältung gesehen hätte.
    10 Tage bei bester Laune unter Antibiotika daheim.

    Ganz ehrlich, ich bin wirklich dankbar für Impfungen, auch wenn ich dabei regelmäßig zu den Verlierern gehöre, aber lieber ich, als der Lütte.

  27. Meine Mutter hatte Polio, als Kind. Zum Glück hat sie nicht so schwere Langzeitschäden davon. Aber natürlich hätte sie sich den Impfstoff gewünscht, den es damals noch nicht gab.
    ‚alabere‘ (nomen est omen) Ist entweder ein/e notorische/r Lügner/in oder Opfer derselben.

  28. Tja, das kommt dabei heraus, wenn eine ausgeprägte Paranoia auf die Impfgegner-Gemeinde im Internet trifft.

    Sorry, heute bin ich zu müde zum Mitdiskutieren (habe nämlich nach Praxisschluss erstmal meinen ärztlichen Qualitätszirkel besucht, danach noch 2 Stunden Arztbriefe gelesen und meine elektronischen Krankenakten auf Vordermann gebracht – so macht das ein seriöser Behandler!).

    Vielleicht bis morgen. Vielleicht auch nicht. WheelC. Good N8!

  29. Ich werde sicher gleich Gegenwind bekommen aber das kann nur zur sinnvollen Diskussion anregen.
    Ich finde Impfungen natürlich nach wie vor wichtig ebenso wie wohl jeder andere hier. Allerdings muss ich sagen das das Maß an Impfungen langsam überhand nimmt.
    In meinem Freundeskreis wurde ein Kleines Kind jetzt innerhalb des ersten Lebensjahres 7x geimpft. Das ganze hatte zur Folge das es einen üblen Ausschlag gab, das Kind beständig sehr schlimmen Husten hatte und mehr getrunken hat als die Eltern (2-3l am Tag!).
    Mehrere Besuche bei Haus und Fachärzten brachten keine Ergebnisse. Erst ein Besucht bei einem Naturheilkundler brachte Besserung. Tropfen auf Pflanzlicher Basis haben dafür gesorgt das der Ausschlag zurück ging, der Husten verschwand und das Kind trinkt auch nicht mehr so übermäßig viel.
    Natürlich sind impfungen wichtig, aber das Maß und die Zeit sollten auch bedacht werden. Wenn diese guten und wichtigen Impfungen zu solchen Problemen führen sollte doch überdacht werden ob diese Anzahl an Impfungen schon im kleinsten Kindesalter notwendig ist. Und der Heilpraktiker sagte auch das diese Fälle immer weiter zunehmen.

  30. ‚@Naivi: Es gibt leider immer eine gewisse Anzahl an Leuten, die aus irgendwelchen Gründen (die meistens unbekannt sind) nicht oder nur sehr eingeschränkt auf Impfungen reagieren. Genauso, wie es auf der anderen Seite Leute gibt, die extrem heftig reagieren.
    Und für Leute wie dich wäre eine extrem hohe Durchimpfung toll, da du dann durch Herdenimmunität geschützt wärst.

  31. ‚@noch’n Flo:

    „habe nämlich nach Praxisschluss erstmal meinen ärztlichen Qualitätszirkel besucht, danach noch 2 Stunden Arztbriefe gelesen und meine elektronischen Krankenakten auf Vordermann gebracht – so macht das ein seriöser Behandler!“

    Brav so!

    Gute Nacht 😉

  32. ‚@ FF:

    „Und trotzdem entscheiden sich immer mehr Eltern dafür, ihre Kinder nicht zu impfen.“

    Wie kommst Du darauf? Die Impfraten bei den Kindern gehen nicht zurück, siehe z.B. Gesundheitsreport Bayern 1/2013 – Impfstatus der Kinder in Bayern. Es gibt Impflücken bei Kindern vor allem in „alternativen Mileus“, Ausbrüche kommen häufig aus Kitas dieser Gruppen, und es gibt Impflücken bei den nach 1970 Geborenen, die keine natürliche Immunisierung mehr haben, aber noch nicht zu den gut geimpften Jahrgängen gehören.

    @ noch’n Flo:

    „Das Schlimme ist, dass man bei solchen Eltern nicht mal mehr mit der Autorität das Hausarztes durchkommt.“

    Diese Haltung ist vielleicht Teil des Problems. „Health Literacy“ ist eine komplizierte Sache, aber der Weg wird dorthin führen, auch wenn man „eingefleischte Impfgegner“ mit Argumenten kaum erreichen wird.

    1. ‚@joseph kuhn: „Die Impfraten bei den Kindern gehen nicht zurück“

      Danke für die Information. Das wusste ich tatsächlich nicht. Ich dachte ein Anstieg der Masernerkrankungen würde auch einen Anstieg der ungeimpften Kinder bedeuten.

  33. ‚@Kevin Kleebusch:
    Warum denkst Du dass viele Impfungen schaden? Ist das nicht im Gegenteil gut, wenn man Kinder vor immer mehr Krankheiten schützen kann? Wäre es nicht wünschenswert, wenn wir uns in Zukunft auch vor Malaria oder HIV mit Impfungen schützen könnten?

    Du bringst eine Anekdote, die aber für die Diskussion ohne Wert ist. Du schreibst das Kind hatte einen Ausschlag und Husten. Warum glaubst Du dass das auf die Impfung zurückgeht? Es könnte auch andere Ursachen haben. Du schreibst, dass Tropfen auf pflanzlicher Basis (was ja viel sein kann) geholfen haben. Das kannst Du genauso wenig wissen. Es könnte ebenso gut sein, dass das Immunsystem des Kindes nach einiger Zeit einfach selbst in der Lage war, den Ausschlag und den Husten zu bekämpfen.

    Anekdoten sind wertlos, solche Fragen lassen sich nur in kontrollierten Studien beantworten.

    Aber zur Sache „viele Impfungen“ habe ich noch ein interessantes Detail, was ich mal in einem Buch von Paul Offit gelesen habe (Offit hat selbst an Impfstoffen mitentwickelt): Zwar gibt es heute mehr Impfungen, aber die einzelnen Impfungen enthalten weniger Wirkstoffe als früher. Moderne Impfungen sind deutlich gezielter und kommen daher mit viel weniger immunologisch wirksamen Substanzen aus. Auch wenn ein Kind heute sieben Impfungen bekommt und früher vielleicht nur 2: Es bekommt trotzdem heute vermutlich weniger Wirkstoffe und die Belastung für das Immunsystem ist geringer.

    Die Zahl der verschiedenen Impfungen sagt überhaupt nichts über deren Risiken aus. Sie sagt nur aus, vor wie vielen Krankheiten man damit geschützt ist. Und da gilt ja wohl eindeutig: Je mehr desto besser.

  34. ‚@Joseph Kuhn:

    Aus deinem zweiten Link:

    „Erfolgreiche „Debriefing-Strategien“ zum Umgang mit denialistischen Strukturen konnten nicht identifiziert werden.“

    Na das macht ja Hoffnung … *seufz*

    Und nu?

    Mir fällt da nur noch ein gewissermassen „statistisch“ vorzugehen
    Also soviele Unentschlossene zu überzeugen, dass insgesamt wenigstens die Herdenimmunität gegeben ist.

    War das in den 70 noch einfach als es hiess: „Schluckimpfung ist süss“ …

  35. Andererseits gibt es eine Impfung die verlässlich vor einer Erkrankung an Masern schützt.

    Falsch, tut sie nicht. Sie senkt das Risiko um das 20- bis zu 50fache ab und sorgt im Falle einer Erkrankung für einen milderen Verlauf, aber einen 100%-Schutz gibt es bei Masern nicht.
    Denn es kann tatsächlich so sein, dass absolut mehr Geimpfte an Masern erkranken als Nichtgeimpfte.
    Nehmen wir folgende Beispielzahlen an:
    Ein Geimpfter erkankt mit 1% Wahrscheinlichkeit
    an Masern.
    Ein Nichtgeimpfter erkrankt mit 30% an Masern.
    Dann müssen nur Nichtgeimpfte 30mal seltener vorkommen, damit mehr Geimpfte an Masern erkranken als Nichtgeimpfte.
    Genau das ist das Problem, wenn man Behauptungen aufstellt. Wenn Du behauptest, Masernimpfung würde sicher schützen und man konfrontiert Dich mit einem korrekten Gegenbeispiel, ist Deine Argumentation entwertet.
    Was die Probleme der Impfung angeht:
    – Masern ist zu selten tödlich, d.h. sehr wenige Eltern
    erleben mit, dass ihr Kind stirbt. Das Risiko, während
    des Lebens im Verkehr tödlich zu verunglücken ist 1:150,
    an Blitzschlag zu sterben 1:200.000. Dementsprechend merkt keiner, dass die Impfung wirkt…nur Statistiker.
    – Außerdem haben wir noch den Auswahleffekt: Eltern, die
    Masern mitgemacht haben, sind von Ihrer Gefährlichkeit
    aus eigener Anschauung nicht überzeugt. Dagegen kann
    man sich den Mund fusselig reden.
    – Impfungen enthalten Thiomersal, ein Quecksilbersalz. „Quecksilber“ ist ein Reizwort und es wird nicht besser, wenn auf dem Fragebogen die Frage nach Quecksilberallergie steht. *Mir* muß man den Grund für den EInsatz nicht erklären, aber andere….

    Und trotzdem entscheiden sich immer mehr Eltern dafür, ihre Kinder nicht zu impfen. Und es sind Eltern mit “hohem Bildungsniveau”, die solche Entscheidungen treffen (Was ich allerdings schwer bezweifle. Nach irgendeiner klassischen Definition mögen solche Eltern zwar “gebildet” sein – aber wer so wenig Ahnung von Naturwissenschaft und Medizin hat und seine Kinder absichtlich der Gefahr einer schweren bis tödlichen Erkrankung aussetzt ist viel, aber definitiv nicht “gebildet).

    Dir fallen definitiv keine Leute hier ein, die offensichtlich Ahnung von Naturwissenschaft und Medizin haben, aber trotzdem Deiner Meinung nach seltsame Ansichten vertreten ?

    1. ‚@TSK: „Dir fallen definitiv keine Leute hier ein, die offensichtlich Ahnung von Naturwissenschaft und Medizin haben, aber trotzdem Deiner Meinung nach seltsame Ansichten vertreten ?“

      „Die anderen sind auch doof!“ ist allerdings kein Argument für oder gegen irgendwas. Mit dem „verlässlich“ hast du aber recht; das war nicht das passende Wort. Ich wollte damit ausdrücken, dass es sich um eine einfache und gut verstandene Prozedur handelt und keine neue, komplizierte und risikoreiche Behandlung, bei der man lange abwägen muss, ob es sich wirklich lohnt.

  36. ‚@ Naivi:

    weil ich ja geimpft war

    Wann genau war denn Deine letzte Auffrischung? In den Köpfen vieler Ärzte hält sich nämlich hartnäckig das Gerücht, die Grundimmunisierung gegen Pertussis im Kindesalter halte ein Leben lang. Das ist leider falsch, auch gegen Keuchhusten muss man alle 10-15 Jahre nachimpfen. Das führt dazu, dass viele Erwachsene im deutschsprachigen Raum keinen guten Impfschutz mehr haben.

    @ alle:

    Überprüft bitte mal alle Euren Pertussis-Impfstatus – falls die letzte Impfung vor 2000 war, solltet Ihr bald mal zum Arzt gehen.

  37. ‚@alabere: Hier geht es nicht „gefallen müssen“, sondern um Argumente – und je weniger sie Erwartungen treffen, umso besser sollten sie belegt sein. Die implizite Behauptung der „Massenbetrieb Wissenschaft“ sei derart gierig, dass ein Gros der hier wesentlichen Studien gefälscht oder manipuliert ist, sollte zumindest plausibel gemacht werden. Aber darum geht es Dir nicht, oder?

    Ach, ich folge am besten Dietmar (#8) – wahrscheinlich in Deinen Augen ein Zeichen argumentativer Feigheit 😉

  38. ‚@ alabere:

    Wie kann man jemanden respektieren der sein Mäntelchen in jeden für ihn vorteilhaften Wind hängt?

    Zugegeben – solche Ärzte gibt es. Die machen dann nämlich jeden unwissenschaftlichen Blödsinn, der ihnen Geld in die Kassen spült, z.B. Bioresonanz, Homöopathie, Dorn-Therapie uvm. Interessanterweise neigen genau diese Kollegen dann auch zur Impfkritik.

    Ich hingegen mache nur, was wissenschaftlich abgesichert ist. Damit verdiene ich zwar weniger, dafür sind meine Patienten auch gesünder. Und damit das so bleibt, werden möglichst viele geimpft.

    Und solche Vollhonks wie Dich schmeiss ich aus meiner Praxis raus.

  39. ‚@ TSK:

    Eltern, die Masern mitgemacht haben, sind von Ihrer Gefährlichkeit aus eigener Anschauung nicht überzeugt. Dagegen kann man sich den Mund fusselig reden.

    Wie kommste denn auf so ’nen Blödsinn?

    Meine Frau wäre als Kind fast an einer Masern-Encephalitis gestorben. Die ist von der Gefährlichkeit dieser Krankheit aber sowas von überzeugt.

  40. ‚@ Kevin Kleebusch:

    In meinem Freundeskreis wurde ein Kleines Kind jetzt innerhalb des ersten Lebensjahres 7x geimpft.

    7 Mal?!? Wieso das denn?

    Der Impfkalender sieht normalerweise mit 2, 4 und 6 Monaten jeweils die Hexa (6fach-Impfung) in Kombi mit Pneumokokken und dann mit 12 Monaten die erste MMR vor. Welcher Arzt malträtiert denn einen Säugling 7x in 1 Jahr?

  41. ‚@ Naivi:

    Die Auffrischung war im Juni, ich hatte mir den Finger gebrochen und brauchte Tetanus, da war Pertussis dabei. Krank war ich im August.

    Und Bordetella pertussis wurde bei Dir zweifelsfrei als Erreger festgestellt?

    (Ich hätte jetzt fast „Mortadella pertussis“ geschrieben – blöde Angewohnheit aus dem Studium, den Keuchhustenerreger so zu nennen.)

  42. Ich oute mich hier jetzt mal:

    Ich habe mich vor zwei Wochen gegen Polio, Keuchhusten, Tetanus und Diphterie impfen lassen.

    Zur Zeit führe ich noch eine Diskussion mit meiner Ärztin, weil sie meint, die Masernimpfung gäbe es nur für nach 1970 geborene Frauen wo der Impfstatus unbekannt ist. Da werde ich aber beim nächsten Termin für die 2. Impfung mit der Stiko Empfehlung wedeln, wo nichts davon drin steht, dass eine Unterscheidung nach Geschlechtern stattfindet.

    Oh, und ich hatte gaaaanz pöööhse „Impfschäden“: Ne Beule am Arm für 4 Tage, und ein wenig Dünnpfiff, welchen ich aber auch durchaus dem Diclofenac zuschreiben könnte.

    Warum ich das mache?

    Weil in meinem Dunstkreis (ich bin Jahrgang 1971) sich die Leute gerade fortpflanzen, und ich keinen Bock habe entweder Überträger oder Empfänger einer vermeidbaren Erkrankung zu sein.

  43. ‚@noch `n Flo
    Nein. Für den Nasenabstrich war ich ja zu spät dran, und durch die Impfung hatte ich ja eh nen Titer.
    Als dann klar war, dass hier der Keuchhusten umgeht waren
    die Symptome dann im Nachhinein eindeutig und weil sie sich erst als ich ein hmm Makrolid ?-Antibiotikum bekommen habe, gebessert haben, hat der Mensch vom Gesundheitsamt, mit dem ich dann wegen dem Lütten zu tun hatte, mich in die Statistik mit aufgenommen.

  44. ‚@Wolf
    Yep.
    dann so ´nen Husten mit gebrochener Rippe, wenn man zusätzlich versucht irgendwie ne Schonhaltung einzunehmen. Ich hab ausgesehen, wie Quasimodo, der die Glocke läutet.

  45. ‚@ Wolf:

    Zur Zeit führe ich noch eine Diskussion mit meiner Ärztin, weil sie meint, die Masernimpfung gäbe es nur für nach 1970 geborene Frauen wo der Impfstatus unbekannt ist. Da werde ich aber beim nächsten Termin für die 2. Impfung mit der Stiko Empfehlung wedeln, wo nichts davon drin steht, dass eine Unterscheidung nach Geschlechtern stattfindet.

    Nimm zum MMR-Impfstoff gleich noch das „V“ dazu (Windpocken). Selbst, wenn Du die schon mal hattest. Neueste Studienergebnisse zeigen nämlich, dass dadurch die Wahrscheinlichkeit sinkt, später mal an einer Gürtelrose zu erkranken (die ja eine Folgeerkrankung bzw. Reaktivierung einer alten Windpocken-Infektion ist). Und diese ist ja bekanntermassen auch nicht wirklich angenehm.

    1. ‚@noch’n Flo: „Und diese ist ja bekanntermassen auch nicht wirklich angenehm.“

      Gibts da eigentlich irgendwelche genetischen Komponenten? Meine Mutter hat immer wieder Gürtelrose. Und ich hatte als Kind auch Windpocken.

  46. OK, OK, ihr habt mich überzeugt, das jetzt mal konkret anzugehen und nicht mehr aufzuschieben.
    Ich werde dann beim nächsten Besuch meiner Hausärztin dieses Blatt mitnehmen und außerdem bei der Mutter meiner Tochter nachfragen, ob da alles aktuell ist. Nicht dass aus ihrer Globuli-Tendenz mittlerweile eine Impfgegnerschaft geworden ist.
    Ich selbst kann nach dem 23sten Umzug leider meinen Impfpass nicht mehr finden… Der stammt noch aus der Kindheit mit diversen und teils langen Tropenaufenthalten.

  47. Um der leidigen Diskussion hier mal einen neuen Aspekt zu geben:

    > Was ich allerdings schwer bezweifle. Nach irgendeiner
    > klassischen Definition mögen solche Eltern zwar
    > “gebildet”
    > sein – aber wer so wenig Ahnung von Naturwissenschaft
    > und Medizin hat und seine Kinder absichtlich der Gefahr
    > einer schweren bis tödlichen Erkrankung aussetzt ist viel,
    > aber definitiv nicht “gebildet

    Das ist das, was ich leider schon länger beobachte. Es gibt mittlerweile Gebildete und Gebildete. Wahrscheinlich eine Folge der Spezialisierung, früher waren „Gebildete“ allseits gebildet. Heute gibt es naturwissenschaftlich Gebildete, und geistes- und sozialwissenschaftlich Gebildete (die oft auch noch stolz darauf sind, in Mathe nie gut gewesen zu sein).
    Mit letzteren kann man leider oft auch nicht mehr reden, weil deren (manchmal schon ins Esoterische abgleitende) sozialwissenschaftliches fundiertes Weltbild unerschütterlich ist.

  48. ‚@ Frank N.:

    Mit letzteren kann man leider oft auch nicht mehr reden, weil deren (manchmal schon ins Esoterische abgleitende) sozialwissenschaftliches fundiertes Weltbild unerschütterlich ist.

    Eine Möglichkeit gibt es schon: diskutiere mit Ihnen Beispiele für antisoziales Verhalten und Verantwortungslosigkeit einzelner in der Gruppe und was für Folgen für die Gruppe daraus entstehen. Auf diese Weise kann man manche von denen packen.

  49. ‚@Hanno
    Nun gut, ich wollte nur mal diese Anektode erzählen. Ich bin kein Fachmann und kann deswegen eh nicht viel zu einer tiefergehenden Diskussion beitragen. Nach wie vor finde ich es gut das geimpft wird. Und ich wäre auch absolut begeistert wenn ein Impfstoff für Malaria oder gar HIV entwickelt werden könnte. Allerdings finde ich es schon bezeichnend das 3 verschiedene Ärzte im konkreten Fall nicht helfen konnten weil dort die Idee das es an Impfungen lag gar nicht erst auftauchte. Ein einzelner Fall lässt natürlich nicht auf das große ganze schließen und deine Optionen sind natürlich auch möglich.
    Da ich aber nicht selber Elternteil bin und mir konkrete Fakten gerade fehlen werde ich mich jetzt lieber aus der Diskussion verabschieden. Ich sage sonst noch Sachen die so gar nicht mehr stimmen.
    Grüße

  50. Und wie mein Hausarzt bei einer ähnlichen Gelegenheit sagte: Wenn ich nich mehr weiss, wann die letzte Impfung war, ist auch das Impfbuch uninteressant (er hat mir dann ein neues angelegt), dann sollte aufgefrischt werden. Been there, done that.

  51. ‚@ FF:

    Gibts da eigentlich irgendwelche genetischen Komponenten?

    Nicht dass ich wüsste.

    Meine Mutter hat immer wieder Gürtelrose.

    Ja, das kann man mehrfach bekommen. Riskant wird es immer, wenn das Immunsystem mit etwas anderem beschäftigt ist. Dann kommen die Viren aus ihrem Versteck entlang einer Nervenscheide hervor (deshalb auch die gürtelförmige Ausbreitung – immer entlang des Versorgungsgebiets eines Nerven).

    Und ich hatte als Kind auch Windpocken.

    Dann solltest Du über die Impfung nachdenken.

  52. irgendwelche genetischen Komponenten?

    Warum nicht, Florian – ist doch das Immunsystem zumindest teilweise genetisch bestimmt, also durchaus eine Erblinie mit gegenüber dem Durchschnitt erhöhter Anfälligkeit gegen <Erreger> denkbar.

  53. ‚@Kevin

    Nun gut, ich wollte nur mal diese Anektode erzählen.

    Das passt für mich schon. Denn du hast die richtigen Schlüsse gezogen.

    Ich denke eines der Hauptprobleme in der Medizin besteht darin, dass wir eben nicht alle gleich sind und in 100% gleicher Art und Weise auf Behandlungen ansprechen. Genau das erwarten aber viele Menschen und wollen nicht akzeptieren, dass das nicht funktioniert. Nicht alle Medikationen wirken bei allen Menschen gleich gut. In manchen Fällen weiß man warum das so ist, oft aber nicht. Da muss dann eben die Statistik aushelfen. Wenn eine Medikation bei 95% aller Menschen gut funktioniert, dann hat man immer noch das ‚Risiko‘ zu den restlichen 5% zu gehören. Das bedeutet aber nicht, dass die Medikation an sich sinnlos wäre. Denn 95% aller Menschen haben eben kein Problem damit und sprechen gut an.

  54. ‚@Chris:
    Stimmt nicht. Ich hatte Pandemrix 2009 und das enthält Thiomersal, auch und gerade die Impfungen für Mehrfachdosierungen (Grippeimpfungen) müssen Thiomersal enthalten, auch heute. Außerdem heißt „frei von Thiomersal“ nur, dass der Grenzwert eingehalten wird; es gibt durchaus Impfstoffe, die es in Spuren enthalten, weil Thiomersal im Herstellungsprozess verwendet wird und erst nachher rausgefiltert wird.
    Da wir aber von MMR reden: Priorix hat kein Thiomersal, zugegeben.

    @noch’n Flo

    Meine Frau wäre als Kind fast an einer Masern-Encephalitis gestorben

    Genau das meine ich ja. Wäre sie gestorben, hätte sie niemanden warnen können, dass es gefährlich ist: Auswahleffekt. Und für diejenigen, die es überstanden haben, ist es meistens eine harmlose Kinderkrankheit gewesen.

    Nimm zum MMR-Impfstoff gleich noch das “V” dazu (Windpocken).

    Sollte er nicht lieber Zostavax nehmen ?

  55. ‚@noch’n Flo:
    Das mit der Windpocken-Impfung interessiert mich genauer. Denn ich hatte da mal mit einem Arzt drüber geredet und der meinte sowas wie dass das nur was bringt wenn man Windpocken noch nicht hatte und somit sei sie für die meisten Erwachsenen nicht sinnvoll, weil fast jeder irgendwann Windpocken hatte. Du sagst das Gegenteil.

    Ist es so, dass man auch wenn man Windpocken hatte, die Impfung das Risiko für Gürtelrose senkt? Ich hab grad noch einen Blick in die Stiko-Empfehlungen geworfen und da wird die Impfung nur für Jugendliche empfohlen, bei Erwachsenen steht nichts.

  56. ‚@ TSK:

    Sollte er nicht lieber Zostavax nehmen ?

    Habe ich keine Erfahrung mit – ich verwende in meiner Praxis „Priorix“ für die MMR und „Priorix Tetra“, wenn auch die Varizellen dazukommen sollen. Zostavax ist ja nur für die Zoster-Impfung – die MMR braucht er ja aber auch. Also warum 2x spritzen, wenn 1x reicht?

    Und: Zostavax ist zwar dezidiert zur Zoster-Prophylaxe gedacht, enthält aber genauso Herpes Zoster Viren, wie die Windpocken-Impfstoffe, da besteht kein Unterschied.

  57. ‚@ Hanno:

    Ist es so, dass man auch wenn man Windpocken hatte, die Impfung das Risiko für Gürtelrose senkt?

    Yep. Muss die Studien mal raussuchen, mache ich, wenn ich etwas mehr Zeit habe.

  58. ‚@noch’n Flo
    Ich habe mal die Zahlen verglichen:
    Zostavax: 19400 PBE pro Dosis
    ProQuad: 9700 PBE pro Dosis
    Priorix Tetra: 2000 PBE pro Dosis

    Laut Beipackzettel benutzen alle denselben Strang Oka/Merck.

    Also durchaus ein deutlicher Unterschied, deshalb bin ich skeptisch, dass die Impfung tatsächlich den selben Nährwert wie die Zostavax Prophylaxe haben sollte.

  59. ‚@Dagda
    Laut der Studie ist das Risiko, an Gürtelrose zu erkranken, fünffach erhöht, wenn ein Elternteil Gürtelrose hatte und *zwanzigfach*, wenn beide Eltern Gürtelrose hatten ?

    Meine Herren….

  60. ‚@noch’n Flo:
    Danke für den Hinweis auf die Keuchhustenimpfung, heuer muss ich sowieso den FSME-Schutz wegen der Miezen auffrischen, da lass ich das auch gleich mitmachen. Wusste nicht, dass man diese Impfung auffrischen muss.

  61. (Ein Kommentar aus der Kategorie: Humor ist wenn man…)
    Annekdote aus besagtem November:

    Letzte Grippeschutzimpfung war 5 Jahre her. Zum nächsten Allgemeinmediziner aufgemacht. Die tried and trusted Ärztefamilie hatte im selben Jahr ihre letzte Niederlassung in meinem Ghetto dichtgemacht. Deshalb in Gedanken versunken bei der Hausnummer vertan und beim „Falschen“ reingelaufen. Zunächst nicht bemerkt und ehrlich mein Anliegen vorgetragen. Daraufhin die erste Frage: „Warum wollen Sie sich denn impfen lassen?“(Von wegen es gäbe keine dummen Fragen.) Sinngemäße Antwort als Gegenfrage:“Um keine Grippe zu bekommen?“(Obwohl ich noch nie eine hatte. Aber anderes Thema.) Entgegnung:“Die müssen sie dann aber selbst bezahlen. Können Sie sich vielleicht von der Kasse zurückholen.“ An der Stelle setzte die Verwunderung ein. Täuschte mich mein Erinnerungsvermögen bezüglich der sporadischen Arztbesuche zwecks Impfung in der Vergangenheit? War das neu oder schon immer so gewesen? Trotzdem erstmal brav Platz im Wartezimmer genommen und den Fragebogen bearbeitet. Nach den Stammdaten eine Reihe Fragen zur Krankengeschichte übersprungen und dann die Erklärung für meine Verwunderung am Seitenende gefunden:
    „Gewünschte Gewichtung der Behandlung
    [ ] Akkupunktur
    [ ] Osteopathie
    [ ] Homeopathie

    [ ] Schulmedizin“
    Conclusio: Keine Kassenapprobation.
    Ein Gefühl, welches ich im Nachhinein als Panik indentifiziert habe, überkam mich, und mir war als ob eine innere Stimme mir riet:“Raus da, Junge! Und nimm den verdammten Zettel mit!“ Mit den Worten „Das hier wird nix“ am Praxisinhaber vorbei geflüchtet und zu Hause erstmal meinen Irrtum mit der Hausnummer festgestellt. Es war das Nachbarhaus. Nachdem das ursprüngliche Vorhaben dann doch routiniert-langweilig zu gewohnt erfolgreichem Abschluß beim gewünschten Arzt führte(Über Kärtchen abgerechnet und mit dem traditionellen Erklärbärfolkloreprogram), fielen mir wieder die in jenen Tagen doch sehr zahlreichen Auseinandersetzungen hier zu genau diesem Themenkomplex ein, und ich dachte ganz still bei mir: Coincidence is a bitch.

  62. ‚@ Psyclash:

    Akkupunktur

    Das hat aber nichts mit ’nem Akkuschrauber und auch nichts mit einem Handy-Akku zu tun und schreibt sich daher nur mit einem „k“: Akupunktur.

  63. ‚@noch’n Flo
    Ganz sicher kann ich mir natürlich nicht mehr sein. Aber ich erinnere es damals genau so dort gelesen haben. Den Gag wollte ich also unbedingt mitnehmen, gleichgültig ob nun richtig oder falsch.

  64. ‚@noch’n Flo
    „Akkupunktur“
    Vielleicht kombiniert der entsprechende Heiler ja die Nadeln mit einer elektrischen Oszillationssäge. Schwingungen sind in dem Bereich ja immer besonders wichtig. 🙂

  65. damals genau so dort gelesen

    Nicht besonders ungewöhnlich, Psyclash, ists doch ein gewöhnlicher Tippfehler, der das Lektorat überlebte. Läßliche Sünde. Dennoch ziemlich peinlich.

    Vorgestern erblickte ich ‚Ortomolekulare Medizin‘ im Schaufenster (ein Treffer einer Blitzsuche) – das kommt davon, wenn die ganzen ‚h’s von den Energethikern geklaut werden…

  66. ‚@Psyclash:
    Ist mir so ähnlich vor ein paar Tagen passiert. Hatte im Internet nach einem Augenarzt in der Nähe gesucht, direkt einen gefunden, super. Am nächsten Tag morgens sofort hin, war Punkt 9 da. Es standen schon das ganze Treppenaus voll mit Leuten, die auch alle dahin wollten. War leicht verwirrt, war aber noch auf eine Wartezeit eingestellt, als ich zufällig nach links blickte, und das Schild sah. „Frau So-und-so, Augenarzt und Homöopathin“. (Stand so NICHT im Internet…) Spontane Selbstheilung, ab nach Hause 😀

    Meinem Auge geht es übrigens wirklich besser. So ein Besuch in homöopathischen Dosen beim Arzt scheint also auch zu helfen…… 😉

  67. ‚@ Desolace:

    Wie bei der HP hat auch hier die „Droge Arzt“ gewirkt. In diesem Fall sogar besonders effektiv: die Ärztin musste Dich nicht einmal sehen. Vielleicht könnte dies der Schlüssel zu einer wirklich effektiven Reform des deutschen Gesundheitssystems sein. 😉

  68. „ein Todesfall pro 10.000-20.000 Erkrankungen“ … Ja, wir sind gebildet. Ja unsere Kinder sind nicht geimpft und hatten Masern. Keinerlei Komplikationen – aber eine natürliche Ausbildung des Immunsystems. Wir trauen (als gebildete Menschen) der Natur mehr als der Pharma-Industrie. So einfach ist das.

    1. ‚@Martin: „aber eine natürliche Ausbildung des Immunsystems. Wir trauen (als gebildete Menschen) der Natur mehr als der Pharma-Industrie. So einfach ist das.“

      Ne, du bist definitiv nicht „gebildet“ wenn du nicht einmal verstehst, wie das Immunsystem funktioniert und das eine Erkrankung durch Masern nichts dazu beiträgt es „natürlich“ auszubilden. Ich kann nur hoffen, dass deine Kinder nie ernsthaft krank werden und dass du, falls es doch mal so weit ist, „gebildet“ genug bist, ihnen eine vernünftige medizinische Behandlung zukommen zu lassen.

  69. ‚@Florian:

    Die anderen sind auch doof!” ist allerdings kein Argument für oder gegen irgendwas

    Na ja, es zeigt, dass man mit dem, was man meint, sicher zu glauben und dementsprechend auf dieser Basis über andere Menschen zu urteilen, sehr vorsichtig sein sollte.
    Insbesondere dann, wenn sogar gerade die superrationalen Vorbilder auch seltsame Dinge glauben.

    Ich wollte damit ausdrücken, dass es sich um eine einfache und gut verstandene Prozedur handelt und keine neue, komplizierte und risikoreiche Behandlung, bei der man lange abwägen muss, ob es sich wirklich lohnt.

    Schon klar. Die Ausrottung der Pocken ist eigentlich für mich das Superargument.

    Könntest Du mal nach den Posts an noch’n Flo gucken, wo ich die Dosierungen verglichen habe ? Die scheinen wieder im Filter zu hängen.

  70. ‚@ Martin:

    “ein Todesfall pro 10.000-20.000 Erkrankungen” … Ja, wir sind gebildet. Ja unsere Kinder sind nicht geimpft und hatten Masern. Keinerlei Komplikationen – aber eine natürliche Ausbildung des Immunsystems. Wir trauen (als gebildete Menschen) der Natur mehr als der Pharma-Industrie. So einfach ist das.

    Würdest Du das auch schreiben, wenn eines Deiner Kinder das eine unter Zehntausend gewesen wäre, was an Masern stirbt? Was durch Impfung vermeidbar gewesen wäre?

  71. ‚@ TSK:

    Könntest Du mal nach den Posts an noch’n Flo gucken, wo ich die Dosierungen verglichen habe ? Die scheinen wieder im Filter zu hängen.

    Ich verstehe auch so, was Du meinst: die Impfstoffe haben unterschiedliche Konzentrationen an Viren. Ändert aber nichts an meiner Aussage, dass Erwachsene durchaus vom Kinder-Impfstoff profitieren können.

  72. ‚@Martin:

    (Zitat von noch’n Flo)

    „Würdest Du das auch schreiben, wenn eines Deiner Kinder das eine unter Zehntausend gewesen wäre, was an Masern stirbt? „

    Mal ganz abgesehen von den Spätfolgen wie SSPE die eventuell erst in der Pubertät auftreten …

  73. ‚@Floh: das Argument wird gerne als „Todschlag-Argument“ benutzt (irgendwie passend ;-). Ich habe auch eins: schau mal an, wie viele Kinder im Straßenverkehr umkommen. Es ist also ein vollkommen natürliches Risiko, dass man mit dem „Eltern-werden eingeht.

    @Florian: die Tatsache, dass ich eine andere Meinung habe, gibt auch Dir nicht das Recht, mich „ungebildet“ zu nennen.

    Ich bleibe dabei: Impfungen sind ein nicht kalkulierbares Risiko – vor allem hinsichtlich unerkannter Kollateral-Langzeitschäden (die als solche nie erkannt werden werden , weil niemand die Kosten entsprechender Studien zahlen würde.

    1. ‚@Martin: „die Tatsache, dass ich eine andere Meinung habe, gibt auch Dir nicht das Recht, mich “ungebildet” zu nennen.“

      Wie meinst. Aus meiner Sicht gehören Kenntnisse über die Funktion des Immunsystems zur Bildung.

  74. ‚@Martin:

    „Impfungen sind ein nicht kalkulierbares Risiko – vor allem hinsichtlich unerkannter Kollateral-Langzeitschäden (die als solche nie erkannt werden werden , weil niemand die Kosten entsprechender Studien zahlen würde.“

    Nicht das man mit der Ausrottung der Pocken eine Langzeit“studie“ hat, die über beinahe ein Jahrhundert lief …

    Die Ausrottung der Polio in vielen Gegenden der Welt hatte ich ja schon weiter oben erwähnt.

  75. Das natürliche Risiko an einem Verkehrsunfall zu sterben….
    Naja, dann hätte ich mir die Verkehrserziehung, den Leuchtkragen und den Kindersitz ja sparen können.
    Wozu Prävention? Ist doch alles natürlich…

  76. ‚@Martin: Geisteswissenschaftlich gebildet? Kinder auf der Waldorfschule/im Waldorfkindergarten?
    Keule, Joethe is‘ ja ganz schön, aber Mathe (auch wenn man es vielleicht doof findet) gehört eben auch zur Allgemeinbildung:
    „Nebenwirkungen nach MMR-Impfung pro 1 Mio. Geimpfte vs „Komplikationen pro1 Mio. Masernkranke“
    Immunschwäche sehr selten alle
    Ohrenentzündung 0 70 000–90 000
    Lungenentzündung 0 10 000–60 000
    Hospitalisation 20–50 10 000–25 000
    Fieberkrämpfe 30–300 5000–7000
    Hirnentzündung 0,6–1,6 200–2000
    Abnahme Blutplättchen 30 330
    Subakute sklerosierende Panenzephalitis (SSPE)
    0 1–10
    Allergische Schockreaktion (Anaph ylaxie)
    1–10 0
    Autismus 0 0
    Todesfälle <1 300–1000
    Kosten : 1 Million Impfungen (2 Dosen) kosten 140 Millionen Franken vs 1 Million Erkrankte kosten zwischen 3,6 und 5 Milliarden Franken

    (Quelle: Nebenwirkungen nach MMR-Impfung im Vergleich zu Komplikationen bei Masernerkrankung. BAG 2013)
    Link: https://www.stopmasern.ch/de-ch/so-schuetzt-die-impfung/nebenwirkungen-masernimpfung.html
    Jaja, "ihr habt Euch informiert": Mal "Impfen" bei Google eingegeben und dann "Imfkritik.de" gelesen, der erste Link, ne? Ist ja chic, nicht so "mainstream" zu sein, wa? Und so schön bequem, innert 5 min mal quergelesen, das muss für die Blagen reichen, man will ja noch zum Yogakurs.
    Neee, wieso Sicherheitsgurte für die Kinder im Auto benutzen, die haben doch einen Schutzengel und wenn nicht, dann liegt es am Karma, die Kleinen haben bestimmt im Vorleben was ausgefressen, geschieht ihnen ganz recht, wenn sie durch die Windschutzscheibe fliegen."
    BILDUNG? Deshalb wohl auch das "To"d"schlagargument, ne?
    Aaalso: Bio nicht und Mathe nicht, Deutsch auch nicht…..hmmmm, lass mich raten: Du kannst Deinen Namen ganz toll tanzen.
    Soo und jetzt husch zu Deiner Klangschalentherapie, damit Du die negativen Vibrations, die hier so irgendwie so rüberkommen wieder von Deiner Aura (der Selbstgefäligkeit und Ignoranz) entfernen kannst (ich kann übrigens ihre Farbe sehen-sie ist KACKBRAUN: Was unserre Kinder nicht tötet, härrtet ab.

  77. Mist die Tabelle ist verrutscht und kaum noch lesbar
    Immunschwäche sehr selten alle
    Ohrenentzündung 0 vs. 70 000–90 000
    Lungenentzündung 0 vs. 10 000–60 000
    Hospitalisation 20–50 vs.10 000–25 000
    Fieberkrämpfe 30–300 vs. 5000–7000
    Hirnentzündung 0,6–1,6vs. 200–2000
    Abnahme Blutplättchen 30vs. 330
    Subakute sklerosierende Panenzephalitis (SSPE)
    0 vs 1–10
    Allergische Schockreaktion (Anaph ylaxie)
    1–10 vs 0
    Autismus 0vs 0
    Todesfälle <1 vs 300–1000

  78. ‚@Martin

    Um mal die natürlichen Risiken des Eltern seins zu erörtern:

    Das heißt doch sicherlich das eben eine Verkehrserziehung eigentlich sinnlos ist, 7 kindliche Verkehrstote auf eine Millionen Einwohner ist doch auch nichts dramatisches Außerdem, jeder weiß doch das dabei nur die Kindersitz, Fahrradhelm und Ampelindustrie profitiert.

    Genauso vernachlässigbar diese dämlichen Steckdosensicherung, reine Panikmache, wann ist schon mal ein Kind dabei gestorben?

    Des weiteren freut sich doch jedes Kind wenn die Wände in knalligen Farben von bleihaltiger Farbe gestrichen sind oder ihr Spielzeug ganz dolle mit Weichmacher behandelt wurde. Die harmlosen Nebenwirkungen sind doch nur von „DER Wirtschaft“ hochgepusht worden, um neue Ware abzusetzen.

    Ich hoffe sie halten sich an diese, und weitere, Ratschlägen. Den immer daran denken, wenn das Kind stirbt, ist es halt „Berufsrisiko“ der Eltern, Pech gehabt.

  79. ‚@Muddi:

    Danke für die Daten, und …

    „Sorry Leute, aber da sehe ich Rot ich finde das den Kindern gegenüber SOOOO gemein.“

    diese Entschuldigung ist vollkommen überflüssig!

  80. ‚@noch’n Flo
    Das Posting ist freigeschaltet. Die Immunantwort fällt natürlich stärker aus, je mehr Erreger verwendet werden und das ein Zehntel der Erreger das gleiche Schutzniveau erreichen glaube ich erstmal nicht so ganz.

    Ich möchte auch mal gegen die Klage der bösen Alternativmedizinärzte wettern. Was einige von euch nicht wissen, ist, dass das Gesundheitssystem hier gnadenlos jeden bestraft, der tatsächlich mit rein anerkannten Methoden behandeln will *und* ein guter Arzt sein will. Intensive Aufklärung, Prophylaxe ? Fehlanzeige ! Ich weiß von einer Augenarztpraxis, die als eine der wenigen noch konventionelle Sehschule bei Kindern betreibt und die haben eine Warteliste, die Monate vorausgeht. Einfach, weil niemand es mehr machen will, weil es sich nicht lohnt.
    Was machen die Ärzte ? Suchen natürlich nach Möglichkeiten, die Finanznot zu lindern. Noch niemandem aufgefallen, dass es viel mehr Gemeinschaftspraxen als früher gibt ? Eine Möglichkeit ist sparen und das heißt Fließbandbetrieb. Eine andere Möglichkeit, Geld zu bekommen, ist Privatpatienten zu melken und das tut man halt mit IGeLn. Und jetzt ratet mal, welche Verfahren dazu gehören ?
    Mein Hausarzt fühlt mich von der Politik im Stich gelassen und er ist nicht allein.

  81. ‚@KingGhidorah:

    „Den immer daran denken, wenn das Kind stirbt, ist es halt “Berufsrisiko” der Eltern, Pech gehabt.“

    Nein. Das ist natürlich!

    (SCNR)

  82. Dass es „ohne Komplikationen“ verlaufen ist, bedingt ein intaktes und starkes Immunsystem. Damit scheinen Deine Kinder zum Glück gut ausgestattet zu sein, – aber Deine Haltung könnte letztlich auch so verstanden werden, dass Du bereit gewesen wärest, für Deine Überzeugung, dass das Impfen schädlich sei, das (Über)Leben Deiner Kinder aufs Spiel zu setzen.

    Da fände ich Bridge spielen, oder meinetwegen Poker (ja nicht zu verwechseln mit Pocken), eine empfehlenswerte Alternative, um den „natürlichen“ Stress des Elterndaseins loszuwerden …

    (Diese bemerkenswerte Reaktion Deiner Kinder könnte eventuell als eine „stille Feiung“ bezeichnet werden, dh „eine Immunantwort des Körpers im Rahmen einer symptomlosen (asymptomatischen, inapparenten oder stummen) Infektion mit einem Krankheitserreger“ (Zitat).
    Siehe https://de.wikipedia.org/wiki/Stille_Feiung )

  83. Meine Güte … da komm ich ja mitm Facepalmen kaum noch nach. Ich bin jetzt nicht so ein Kinderfan, aber bei dem Schrott, den Martin hier abläßt, krich ich auch Blutdruck.
    Mich nervt vor allem diese komplett merkbefreite Dreistigkeit, mit der der einfach so behauptet

    Wir trauen (als gebildete Menschen) der Natur mehr als der Pharma-Industrie.

    Tja, mein Gutster, dann hau mal ab in den Wald weit entfernt von jeglicher Pharma und schau mal, wie weit du kommst. Daß du in einer Stadt wie Berlin mit 3,5 Millionen Einwohnern überhaupt zu irgendeinem Zeitpunkt sicher vor den fiesesten Seuchen sein kannst, liegt woran? Je-nau: an der bösen Pharmaindustrie. Denn regelmäßig immer und überall, wo die medizinische Infrastruktur (beispielsweise nach Tsunamis und Erdbeben) gründlich ausfällt, kommen die Seuchen im Minutentakt angaloppiert. Na huch? Wie kann das denn sein, wenn man der Natur so ein Vertrauen gegenüberbringt?
    Du sitzt dir hier deinen „gebildeten“ Hintern in einer der hygienischsten und krankheitserregergewichtet sichersten Gegenden der Welt platt (weil nämlich fast alle Menschen in deiner Umgebung mindestens 10 Impfungen in ihrem Leben erhalten haben) und erzählst dann, Masern wären nichts. Du Scherzbold. Laß deine Gören doch drei oder sieben dieser „harmlosen“ Krankheiten gleichzeitig bekommen, weil in der ganzen Stadt sonst auch niemand weiß, was Impfen ist. Dann sehen wir nochmal nach, wie „harmlos“ das ist. (Und btw ist der Grad deines asozialen Handelns noch viel perfider: dein Blag überlebt die Masern. Kannst du das auch für alle anderen nichtgeimpften Kinder sicherstellen, mit denen dein Nachwuchs Kontakt hat? Interessiert es dich eigentlich mehr als einen feuchten Pup, wohin deine kleine Virenschleuder überall ihre Seuche weiterschnoddert? Herzlichen Dank.)
    Mit der gleichen Berechtigung könnte ich übrigens behaupten, Atombomben wären harmlos, weil ja schließlich in Europa noch niemals jemand an einer Atombombenexplosion gestorben ist.
    „Gebildet“. Ja klar.

  84. ‚@Dietmar-echt jetzt?
    Wo das jetzt raus ist- war eine wirklich „charakterbildende“ Erfahrung, die ganzen Winterferien mit bis 41°Fieber und rasenden Kopfschmerzen im Bett zu liegen-jep, zu wissen dass ich fast draufgegangen wäre, ist eine sehr wertvolle Erfahrung.
    Meine Mutter konnte ja wenigstens nix dafür, sie und die KÄ sind einfach fälschlicherweise davon ausgegangen, dass ich die Masern schon vor der Impfung gehabt hatte, bei Ihr war es also wenigstens nicht Desinteresse und Arroganz.

  85. Es gibt auch Menschen mit “hohem Bildungsniveau” die nicht sehen wollen dass wir in Europa auf eine richtig harte Diktatur zusteuern! Nicht wahr Florian?

  86. ‚@Alle

    und das ein Zehntel der Erreger das gleiche Schutzniveau erreichen glaube ich erstmal nicht so ganz.

    Darf ich da mal nachhaken, auch wenn ich etwas weiter ausholen muss, bis ich zum Punkt komme.

    Was ist denn das Problem? Das Problem ist doch, dass Erreger in den Körper eindringen und anfangen sich dort zu vermehren. Geschieht das, dann wird die Immunabwehr aktiv, die anfängt den Erreger zu vernichten. Die Immunabwehr, das sind die T-Zellen. Jetzt gibt es aber ein Probem: woher ‚wissen‘ die T-Zellen eigentlich, wer körpereigen ist und wer körperfremd? Die Antwort ist (möglicherweise vereinfacht ausgedrückt) ein Schloss-Schlüssel Prinzip. Nur dann, wenn die T-Zellen an den Erreger koppeln können, vernichten sie ihn auch. D.h. aber auch, die T-Zellen brauchen den richtigen Schlüssel. Den haben sie aber nicht von Anfang an. Sondern das Immunsystem muss erst mal ‚lernen‘, wie der Schlüssel aussieht, damit er zum Eindringling passt. Dann stellt es gezielt dafür passende T-Zellen her und die Immunabwehr läuft.
    So weit so gut. Das Problem an der Sache ist ein Zeitproblem. Denn während das Immunsystem an den passenden T-Zellen arbeitet, vermehren sich die Erreger. Werden die zu viele (exponentielles Wachstum), dann hat das Immunsystem verloren und der Erreger überschwemmt den Körper. Mit den bekannten Folgen.

    Impfung ist jetzt nichts anderes, als dem Körper einen relativ harmlosen Sparring-Partner vorzusetzen, an dem es die richtigen T-Zellen erst mal ‚üben‘ kann. Denn wie alle guten Systeme, behält sich das Immunsystem das Kochrezept zur Bearbeitung eines Eindringlings. Hat es erst mal die richtigen T-Zellen, dann können die bei Bedarf auch wieder abgerufen werden.

    Was man mit Impfung im Grunde erreicht ist also, dem Immunsystem einen Zeitvorteil zu verschaffen, indem man es vorher an einem Sparring-Partner trainieren kann. Tritt der echte Erreger auf, dann kann das Immunsystem sofort mit der Produktion der richtigen T-Zellen beginnen und muss nicht erst langwierig rauskriegen, wie es den Eindringling bekämpft.

    So, das ist meine laienhafte, und sicherlich in so manchem Detail falsche, naive Erläuterung, was da abgeht und warum Impfen sinnvoll ist.

    Das Problem an der Sache ist natürlich, dass man einen Sparring-Partner braucht, der zwar seinen Zweck erfüllt, aber möglichst auch keinen Schaden verursacht, wenn es mal etwas länger dauert. Ein Sparring-Partner soll ja ein Trainingspartner für einen Boxer sein und ihn nicht regelmässig KO schlagen.
    Da kann es IMHO natürlich auch sein, das man Impfstoffe findet, die sich besser eignen und von denen man weniger benötigt, um das Immunsystem zu trainieren.

    Habe ich da jetzt irgendwo einen groben Patzer in meiner Denkweise?

  87. ‚@Kallewirsch: Es sind nicht nur die T-Zellen, es ist das Zusammenspiel aus T-Zellen, B-Zellen (die produzieren dann später die Antikörper) und antigenpräsentierenden Zellen.
    Damit die B-Zelle passende Antikörper produzieren kann, braucht sie ein co-stimulatorisches Signal der T-Zelle. Entscheidend ist aber die Bildung von langlebigen Gedächtniszellen, die dafür verantwortlich sind, das bei einem erneuten Infektion die passenden Antikörper schnell gebildet werden können.

  88. ‚@Chris
    Danke. Also passt das im Prinzip schon?
    Ich will da auch nicht zu sehr ins Detail gehen. Ich finde immer, man muss einen Zusammenhang auch so erklären können, dass ein 6-jähriges Kind das Prinzip verstehen kann. Wenn das gelingt, dann hat man eine gute Erklärung.

    Denn jetzt kommt der Punkt, an dem ich so meine Probleme mit den Impfgegner habe. Welchen Teil davon habt ihr nicht verstanden? Impfung ist nicht irgendwie etwas magisches – man schluckt ein Mittelchen und eins, zwei, drei kann einem nichts mehr passieren. Impfen ist ein vorauseilendes Training für das Immunsystem. Natürlich hat man das Problem, dass man veränderte Erreger braucht, die eine Krankheit nicht in vollem Umfang auslösen. Wenn das Immunsystem mit diesem veränderten, abgeschwächten Erreger schon nicht klar kommt, was denkt ihr wird passieren, wenn dann der echte Erreger daherkommt? Wenn ich so einen Quatsch schon höre, von wegen ‚unkalkulierbarem Risiko‘. Ein gewisses Risiko hat man immer, in allen Lebenslagen. Wer sich nicht impft, ist auf die Herdenimmunisierung der anderen angewiesen, so dass der Erreger die Verbreitungskette zum nicht geimpften nicht schafft. Seine Umgebung schützt ihn. Ist in seiner Umgebung niemand geimpft, dann ist das praktisch eine Autobahn für den Erreger. Das alles ist völlig logisch und in der Praxis auch nachgewiesen. Kommt mir doch nicht mit dem Quatsch, dass sich hygienische Zustände verändert hätten, oder den DDT Unsinn. in 3 Jahren verändern sich die hygienischen Umstände in einem ganzen Staat nicht so, dass die Erkrankungszahlen von ein paar Tausend auf unter 100 fallen. In ein paar Jahren kann man aber eine Bevölkerung soweit durchimpfen, so dass man dem Erreger die Verbreitungswege nimmt.

    Denkt ihr eigentlich auch mal nach, bevor ihr da euren Sermon ablässt?
    Ihr sitzt da auf eurem behütetem Hintern, abhängig davon dass die Umgebung auf euch aufpasst und denkt, nur weil ihr google bedienen könnt und dort Schauermärchen lest, die von anderen Koffern abgegeben werden, deswegen währt ihr gebildet?
    Seid froh, dass ihr im heute und in der heutigen 1. Welt lebt. Denn zu einer anderen Zeit bzw. woanders geht es euch nicht so gut, dass ihr euch so anstellen könnt ohne dass etwas schwerwiegenderes passiert. Im gespannten Sicherheitsnetz, für das andere sorgen, lässt es sich nun mal sorglos leben wie die Made im Speck.

  89. ‚@Kallewirsch: Ja, im grossen und ganzen schon. Die Details sind natürlich etwas feiner…aber das kann man dann ja nachlesen.
    Der Punkt mit der 1. Welt kann gar nicht genug betont werden. Wie schon weiter oben erwähnt die die Todesrate durch Masern in Entwicklungsländern ungefähr 100x so hoch wie bei uns.

  90. ‚@ #133

    Sorry für den letzten Absatz. Der mag etwas hart klingen aber das ist schon die abgeschwächte Version. Wenn ich mir da nicht eine gewisse Selbstzensur auferlegt hätte, dann würde der Absatz ganz anders aussehen.
    Da krieg ich so’nen Hals, wenn wieder wer mit „dann sollen sie halt Kuchen essen“ daher kommt.

  91. ‚@ TSK:

    Die Immunantwort fällt natürlich stärker aus, je mehr Erreger verwendet werden und das ein Zehntel der Erreger das gleiche Schutzniveau erreichen glaube ich erstmal nicht so ganz.

    Es gibt ja aber auch noch Wirkverstärker als Zusatz. Da brauchst Du dann nur einen Bruchteil der Viren, die Du bei einer unverstärkten Vakzine benötigst.

    Mein Hausarzt fühlt mich von der Politik im Stich gelassen und er ist nicht allein.

    Deswegen bin ich auch schon vor Jahren aus Deutschland ausgewandert. Hier in der Schweiz behandle ich lediglich 20 Patienten pro Tag und habe trotzdem ein gutes Auskommen. Und ich kann mir 8-10 Wochen Ferien im Jahr erlauben. 🙂

  92. ‚@Bullet: Ich finde ja auch, der Heisenberg drückt sich relativ unscharf aus. ..
    @ Kalle, Chris : Da erreicht die Arroganz der Impfgegnersekte ja die größte Perfidität: Das liegt ja bloß an der mangelnden Hygiene mit der Sterblickeit, bzw, wie die tollen Anthroposophen so schön meinen, am minderen Genmaterial der Untermenschen, macht doch nix, vielleicht werden sie ja mit etwas Glück im nächsten Leben als höherwertiges
    Lebewesen, beispielsweise Eurhythmielehrer wiedergeboren.

  93. Solange die Medien jede Krankheitswelle darstellen als würde die Welt untergehen werde ich mich davor hüten mich vorschnell impfen zu lassen. BITCHES

  94. Von ‚jeder Krankheitswelle‘ hat auch niemand gesprochen.

    Und wieder einer der nicht verstanden hat, dass er nur deswegen nicht krank ist und möglicherweise noch lebt, weil ein großer Teil der Bevölkerung eben nicht so denkt.

  95. Solange die Medien jede Krankheitswelle darstellen als würde die Welt untergehen werde ich mich davor hüten mich vorschnell impfen zu lassen. BITCHES

    Non sequitur.

  96. Sehr bemerkenswert finde ich, dass es den Anhängern der „sanften“ (sprich: wirkungslosen) Medizin nicht auffällt, dass es eine und nur eine Form von Homöopathie gibt, die funktioniert: Die Impfung. Da wird „Gleiches mit Gleichem“ bekämpft, und es klappt. Ganz ohne Globuli. Man könnte Ihnen vielleicht eines Tages zum Spaß den Gefallen tun, und eine Schluckimpfung als Globulo auf den Markt bringen.
    Leider gibt es gegen Dummheit keine Impfung, da ist nichts zu machen

  97. ‚@Ferrer #146: So verlockend der Vergleich zwischen Homöopathie und Impfung ist, so sehr muss ich dennoch dagegen protestieren. Dieser Vergleich hinkt, und zwar gewaltig.

  98. ‚@Kallewirsch:
    Bitte genau lesen, warum es geht. Wolf und ich haben bereits Windpocken gehabt und sind immun dagegen, wir brauchen also keine Impfung gegen Windpocken. Windpocken können jedoch im nachhinein die gefürchtete Gürtelrose auslösen. Nun ist es wohl so, dass man bei erneuter Infizierung trotz Immunität wohl einen besseren Schutz und einen milderen Verlauf bei Gürtelrose erreichen kann. Das Mittel heißt Zostavax und hat in klinischen Tests sehr gut gewirkt.
    Nun hat noch’n Flo behauptet, schon allein die normale Impfung würde diesen Effekt auslösen. *Das* kann ich nicht so ohne weiteres glauben und hab mir den Beipackzettel von Zostavax, ProQuad und Priorix Tetra
    angesehen. Und siehe da, die Konzentration bei Zostavax ist wesentlich höher (ist auch für ältere Erwachsene) und zwar um einen Faktor 10 im Vergleich zu Priorix Tetra.

    @noch’n Flo

    Es gibt ja aber auch noch Wirkverstärker als Zusatz.

    Ich kann nicht feststellen, dass es irgendeinen Unterschied bzgl. Wirkverstärker zwischen Zostavax und Priorix Tetra gibt.
    Ich fürchte, Du mußt nachweisen, dass die Impfung denselben starken Effekt wie Zostavax erreicht.

    Deswegen bin ich auch schon vor Jahren aus Deutschland ausgewandert.

    Hatte mich auch schon gewundert, Du klingst zu wenig deprimiert….

  99. Wow, ich bin ja ganz begeistert, wie sehr sich hier einige ereifern können („dicker Hals“ und so), nur weil mal jemand eine andere Meinung hat.
    Was glaubt ihr, wer ihr seid? Habt ihr mal überlegt, ob ihr ungeimpft vielleicht lockerer und toleranter sein würdet? 😉

  100. ‚@Martin:

    „nur weil mal jemand eine andere Meinung hat.“

    Interessant. Ich wusste gar nicht, dass sich Viren ihren Wirt nach seiner „Meinung“ aussuchen …

  101. ‚@Martin
    Und dir fällt kein Grund ein, warum sich manche hier aufregen? Wer sich gegen Impfungen entscheidet, nimmt, aus welchen Gründen auch immer, in Kauf das er andere Menschen schädigen könnte.
    Du würdest dich doch auch nicht wundern, wenn man sich über Leute ereifert, die unter Alkoholeinfluss Auto fahren.

  102. ‚@TSK, #148

    Bitte genau lesen, warum es geht. Wolf und ich haben bereits Windpocken gehabt und sind immun dagegen, wir brauchen also keine Impfung gegen Windpocken. Windpocken können jedoch im nachhinein die gefürchtete Gürtelrose auslösen. Nun ist es wohl so, dass man bei erneuter Infizierung trotz Immunität wohl einen besseren Schutz und einen milderen Verlauf bei Gürtelrose erreichen kann. Das Mittel heißt Zostavax und hat in klinischen Tests sehr gut gewirkt.

    Jetzt hast du mich verwirrt. Gürtelrose ist eine Folge von Windpocken? Ich dachte es wäre anders rum, Windpocken würden gegen Gürtelrose immunisieren. Aber egal, ich bin kein Arzt, ich muss das nicht wissen.
    Gürtelrose hatte ich als Jugendlicher (und ich kann mich erinnern, als 5 oder 6-jähriger mal ein paar Tage ausser Gefecht gewesen zu sein. Dann werden das wahrscheinlich die Windpocken gewesen sein). Ich hab jetzt mal gegoogelt, Gürtelrose ist ja gar nicht so harmlos, wie es scheint. Da hatte ich direkt Glück, hab damals Vitamin B12 Tabletten gekriegt und eine Zinksalbe. Nach ein paar Tagen war alles wieder vorbei. Zurückgeblieben ist nichts, aber es hat furchtbar gejuckt.

    Ich finde es immer wieder faszinierend, was man hier in den Kommentaren so alles lernen kann. Ich möchte da mal all den Stammkommentatoren mein fettes Dankeschön dafür aussprechen. Und auch dafür, dass ihr mit mir altem Sack immer so geduldig seid.

  103. Wer sich nicht impfen lässt schädigt genau Niemanden.
    Außer sich selbst, wenn die Theorien stimmen würden.
    Aber da fehlen meiner Ansicht nach noch die geeigneten Studien.
    Ein Geimpfter kann genauso Überträger sein. Das Gegenteil kann man mir nicht weismachen.
    Was vielleicht nicht jeder weiß ist der Grund warum Aduvantien dazu gegeben werden. Nicht weil sie den Schutz verstärken sondern weil sie eine messbare Reaktion hervorrufen die zur Zulassung der Impfung wichtig ist. Und dass es bei den Studien gang und gäbe ist der Kontrollgruppe statt gar nichts Adjuvantien ohne Erreger zu verabreichen, was schlicht und einfach eine Gaunerei ist.
    Zumindestens haben Leute, die sich auskennen sollten, das so behauptet.

  104. Ich habe beschlossen mich gegen Windpocken impfen zu lassen, obwohl ich sie als Kind wohl in leichter Form hatte. Nicht nur, dass meine Eltern im hohen Alter Gürtelrose bekommen haben, die sie dann gar nicht mehr so leicht wegsteckten. Ich habe auch erlebt, wie ein Bekannter Gürtelrose bekommen hat und zwar quer über den Kopf. Das führte dann zu heftigen Nervenschmerzen im Gesicht und da sich das auch über das Auge zog, wurde die Hornhaut geschädigt und die Narben sind dauerhaft geblieben. Wie die Ansteckung gelaufen ist, kann man nicht mehr sage, aber da er Lehrer ist, kann man es sich denken.

  105. ‚@Martin, kannst Du wenigstens lesen? Und verstehen?
    DU HAST DEINE EIGENEN KINDER EINEM GUT VON DIR -UND DIR ALLEIN- VERMEIDBAREM RISIKO AUSGESETZT UND DIE FEHLTE GANZ OFFENSICHTLICH DIE BILDUNG, EIN SEHR KLEINES (IMPFNEBENWIRKUNGEN) GEGEN EIN DEUTLICH GRÖSSERES RISIKO (MASERNKOMPLIKATIONEN) ABZUWÄGEN, .

    Oder hast Du wegen DEINER mangelnden Impfungen bei einer Infektion den Teil des Hirns verbrutzelt der für Lesen und Verstehen zuständig ist?

    Seine Kinder nicht impfen zu lassen weil man faul/zu blöd und zu eingebildet ist ist nicht „bloss eine andere Meinung haben“

    Deine Kinder können sich nicht wehren- das Ganze rangiert übrigens unter Kindsvernachlässigung Du narzisstischer, selbstgefälliger verblendeter Ignorant.

    Kannst Du gerne in der Katergorie von:“ Och, ich schnalle meine Kinder nicht an, was regt ihr Euch auf, ist doch nur eine andere Meinung, bis jetzt ist ja noch nix passiert. -Och ich verdresche meine Kinder regelmässig, ich habe halt eine andere Meinung bei der Kindererziehung“einordnen.
    Zu faul zu sein, mit den Kindern zum Impfen zu gehen und zu Entschuldigen dann den hanebüchenen Propagandamist der „Impfkritiker“ ungeprüft zu übernehmen, dass ist nicht „locker“ und „cool“ –
    das ist nur egoistisch und nichts weiter.

    Du opferst offensichtlich lieber das Wohl Deiner Kinder Deiner kruden Weltansicht und bist dann auch noch zynisch genug vom „natürlichen Risiko des Elternseins“ zu sprechen.

    Du hast nicht“ bloss eine andere Meinung“- Du bist ganz offensichtlich einfach ein miserabler Vater, dem seine Kinder wurscht sind.
    Bloss eine andere Meinung.

    1. ‚@Muddi: Ich weiß, dass dich sowas aufregt. Es regt mich auch auf. Aber Martin so zu beschimpfen wird absolut nichts daran ändern. Ganz im Gegenteil, es wird ihn nur darin bestärken, dass alle die die für Impfungen eintreten, arrogante und aggressive Idioten sind. (Abgesehen davon, dass diese Leute dann irgendwann so wütend sind, dass sie auf die Idee kommen, jemanden zu verklagen, der dann ICH bin weil ich der einzige bin der hier mit Klarnamen auftritt und es MEIN Blog ist. Und da ich nicht reich bin, kann ich mir keine Klage leisten.)

      Ich weiß dass das Thema aufregt. Aber die Beschimpfungen führen zu nichts. Es wäre schön, wenn du in Zukunft deine Kommentare nicht mehr ganz so aggressiv formulierst. Danke.

  106. Danke, Florian. Aber verklagen werde ich hier niemanden. Dafür sind die Angriffe zu substanzlos – und um mich oder meine Person geht es ja letztlich gar nicht. Ich bin ja bestenfalls ein Beispiel für eine anderslautende Sichtweise.
    @Muddi Deine Beiträge zielen nur auf Einschüchterung. Ich nehme sie zur Kenntnis – aber sie verfehlen ihre Intention.

    Ich habe einen guten Kumpel, dessen Kind Neurodermitis bekommen hat – nach einhelliger Meinung ein Impfschaden (der zugegeben sehr selten in der Form auftritt). Die Neurodermitis führte zu ständigem Wahchsein und zu schweren Hirnschädigungen in der frühkindlichen Entwicklung. Gleichzeitig kenne ich neben meinen eine ganze Reihe von ungeimpften Kindern, die vollkommen normal gesund sind. Diese Panikmache ist also vollkommen überzogen. Es geht aus meiner Sicht in der Tat um Risiko-Abwägung. Ich bzw. wir hatten uns die Entscheidung seinerzeit wahrlich nicht leicht gemacht, zumal es bei den zahlosen U-Untersuchungen ein echter „Kampf“ war, unsere Kinder nicht impfen zu lassen. Also: es ist mit Sicherheit einfacher, den vor Panik rot anlaufenden „Fachleuten“ zu folgen.
    Btw, nur mal so aus Interesse: wer in dieser Diskussion verdient eigentlich nicht Geld mit Impfungen.

    1. ‚@Martin: „Btw, nur mal so aus Interesse: wer in dieser Diskussion verdient eigentlich nicht Geld mit Impfungen.“

      Meinst hier sind alle Ärzte bzw. bezahlte Schergen der „bösen Pharmamafia“? Ich bin Astronom… warum sollte ich Geld für Impfungen bekommen?

      Diese ganzen Veschwörungstheorien führen doch zu nichts. Wenn du willst, dass man dich ernst nimmt, dann solltest du KONKRETE BELEGE liefern können, die zeigen, dass 1) IMpfungen nicht wirken und 2) schädlicher sind als die Krankheiten, vor denen sie schützen. Und mit „Belege“ sind wissenschaftliche Facharbeiten gemeint, nicht irgendwas, was irgendwer irgendwo ins Internet geschrieben hat.

  107. ‚@alabere

    Sie haben natürlich recht, wer sich nicht impft gefährted „niemand“. Den wie wir alle wissen, sind solche „Subjekte“ die ein zu schwaches Immunsystem haben, älter Menschen und Kleinkinder „niemand“.

    Oder wollen Sie damit subversiv darauf hinweisen das es sich bei Ihnen um eine so gut infomierte Person handelt das Sie sich mit der „Verbreitungs/Übertragungsskeptik“ befasesn.

    Also ich höre Ihre Weisheiten: Sind Viren in wirklichkeit Gottes Wille? Bakterien nur schlechtes, selbstverursachtes Karma?

  108. ‚@Martin
    Also ich verdien kein Geld mit Impfungen.

    Aber sei versichert, du kannst keine Woche überstehen ohne zu meinem Gehalt beizutragen, bzw. Produkte meines Arbeitgebers zu benutzen.

  109. Ich würde das, was Du „wissenschaftliche Facharbeiten“ nennst, grundsätzlich in Frage stellen. 🙂
    Aber ehrlich gesagt: egal.
    Danke für die Diskussion … Viel Erfolg noch.

    1. ‚@Martin: „ch würde das, was Du “wissenschaftliche Facharbeiten” nennst, grundsätzlich in Frage stellen.“

      Das war mir klar. Wenn man die Wirksamkeit von Impfungen leugnet, muss man konsequenterweise auch den ganzen Rest der Naturwissenschaft ablehnen, denn das gehört alles zu sammen.

  110. ach, ich habe noch vergessen, das mit dem „wer verdient sein Geld mit Impfen“ aufzulösen:
    Woher beziehen denn die, die keine „Patienten-Erfahrungen“ haben, ihr Wissen? …
    Ich komme aus dem Bereich Marketing. Und glaubt mir: wenn ihr die Mittel, die die Pharma-Industrie in „Pro Impfen“ investiert, mir gebt, dann würdet ihr in einem Jahr mir bzw. den Kritikern glauben 😉
    Wie auch immer: gute Gesundheit allen 🙂

  111. Btw, nur mal so aus Interesse: wer in dieser Diskussion verdient eigentlich nicht Geld mit Impfungen.

    Ich verliere Geld mit Impfungen, da einige nicht von der Krankenkasse bezahlt werden. Die Behauptung, ich würde hauptsächlich naturwissenschaftliche und medizinische Lehrmeinungen verteidigen, wird hier eher wohl auch nicht auf so hohe Zustimmung stoßen.

  112. ‚@martin
    Oha und wie kommst du darauf wissenschaftliche Facharbeiten in Frage zu stellen? Ich verdiene übrigens auch genau gar nichts mit dem impfen oder der Impfstoffproduktion, bin allerdings Wissenschaftler, insofern wohl aus deiner Sicht generell verdächtig oder? Wie schon mehrfach in anderem Zusammenhang erwähnt wäre es für alle das beste wenn solche Wissenschaftsverneiner wie du am besten als allererstes ihren PC, Tablet oder sonstiges Internetwerkzeug entsorgen würden.

  113. „Ich würde das, was Du “wissenschaftliche Facharbeiten” nennst, grundsätzlich in Frage stellen“

    Ok … jetzt verstehe ich auch, was man heutzutage so unter „Bildung“ versteht.

    YO! Ignorance is BLISS!

  114. ‚@martin
    Das genau ist dein grosser Irrtum, das man in der Wissenschaft glauben muss, im Unterschied zum Marketing kann man dort aber was wissen ohne den Glauben zu bemühen.

  115. Ja, woher bekommen wir bloß unser wissen…
    Natürlich aus der Infobroschüre die uns monatlich von Evil-Phama AG zugesandt wird. Warum sollte die nicht vertrauenswürdig sein?

  116. ‚@Martin:

    Und glaubt mir: wenn ihr die Mittel, die die Pharma-Industrie in “Pro Impfen” investiert, mir gebt,

    Wie viel gibt denn Pharma-Branche jährlich dafür aus?

  117. Wie viel gibt denn Pharma-Branche jährlich dafür aus?

    Keine Ahnung.
    Aber es muss unter dem Strich ein schlechtes Geschäft sein. Wenn man seine Kundschaft vor etwas bewahrt, wovon man eigentlich jahrelang ein gesichertes Auskommen hätte, weil man ihnen statt dessen regelmässig viel teurere Medikamente verkaufen könnte, dann ist das so gesehen nicht sehr schlau. Das sollte eigentlich auch einem Marketing-Fuzzi einleuchten. Wenn man allerdings einen Impfstoff hat, dann möchte man den auch verkaufen und ja, dann macht man auch Werbung damit. Denn auch in der Pharma ist es so, dass man nichts verkaufen kann, von dem keiner weiß, das man es hat. Die Entwicklung hat ja schliesslich auch eine Stange Geld gekostet. Und auch das sollte einem Marketing-Fuzzi eigentlich einleuchten.

  118. Ich habe einen guten Kumpel, dessen Kind Neurodermitis bekommen hat – nach einhelliger Meinung ein Impfschaden (der zugegeben sehr selten in der Form auftritt). Die Neurodermitis führte zu ständigem Wahchsein und zu schweren Hirnschädigungen in der frühkindlichen Entwicklung.

    Das ist zweifellos tragisch. Aber du sagst ja selber: so etwas ist selten. Stellen wir das mal dem gegenüber, wievielen Kindern nichts passiert ist, weil sie geimpft sind, dann überwiegt diese Zahl aber bei weitem. Wie du sagst: Risikoabwägung.

    Gleichzeitig kenne ich neben meinen eine ganze Reihe von ungeimpften Kindern, die vollkommen normal gesund sind.

    Schön für sie.
    Und jetzt erzählst du das bitte mal den Kindern in Nigeria, die reihenweise durch Polio verstümmelt werden, weil deren geistliche Führung die Impfungen landesweit verbietet.

    Wie gesagt: Hat man eine genügend hohe Herdenimmunisierung in einer Gesellschaft, dann kann man auch ohne Impfung recht problemlos über die Runden kommen. Aber wehe wenn nicht. Dann sind wir wieder dort, wo wir vor 200 Jahren waren, als Seuchen und Epedemien regelmässig über Europa hinweggezogen sind und die Bevölkerung dezimiert haben.

  119. Woher beziehen denn die, die keine “Patienten-Erfahrungen” haben, ihr Wissen?
    Wie wäre mal selber denken? Schauen was plausibel ist?

    Im Übrigen ist hier die Quote der Naturwissenschaftler hoch. Ich zum Beispiel bin Biophysiker. Kein Immunologe. Aber dennoch hat man so ein Grundwissen. Das erlaubt es Plausibilitätsüberprüfungen noch weiter zu treiben – und deshalb ist für die meisten hier auch Deine Meinung schlicht absurd. So absurd, dass die Leser hier voraussetzen, dass Du es selber sehen müsstest – was offensichtlich nicht der Fall ist.

    Marketing findet da übrigens seine Grenzen, wo es zu platt daherkommt. Manchen Leuten kann man ein X für ein U vormachen – nicht allen.

    Bildung

  120. Achtung meine bezahlten Impfwerbergenossen, wir sind hier aufgeflogen!

    Es war aber klar das sich irgendwann unsere Konkurrenz von den Pharmaindustrie was einfallen lassen werden damit sie wieder einen einen soliden Absatzmarkt für ihre Fiebersenkenden/Hustenstillenden Medikamente bekommen… und erst die ganzen Spezialmedikamente die bei schweren Verlauf am Mann gebracht werden können.
    Diesmal haben sie den Kampf gewonnen.

    @Martin

    Du sag mal, ich lasse mich ja als rückratloser Jubelperser gerne für die anderen Pharmariesen bezahlen, aber wie steht es mit der Bezahlung… und ich will meinen Dienstporsche nicht verlieren.
    Könntest da mit der Antipyretikumindustrie für mich einen Deal klarmachen?

  121. Wer sich nicht impfen lässt schädigt genau Niemanden.

    Echt?
    Also mir ist es nicht egal, ob jemand mir in der Strassenbahn seine sich hemmungslos vermehrenden Viren entgegenschleudert, oder ob er erst gar keine Viren hat, weil sie sich erst gar nicht vermehren konnten, eben weil er geimpft ist.

  122. ‚@alabere:

    „Wer sich nicht impfen lässt schädigt genau Niemanden.
    […]“

    Doch. Sich selbst und jeden den er ansteckt.

    „Ein Geimpfter kann genauso Überträger sein.“

    Nein.
    Durch die Impfung reagiert das Immunsystem in der Regel so früh, dass die Viruslast so niedrig bleibt, dass man niemand anstecken kann.
    Wenn das nicht so wäre, hätte die Ausrottung der Pocken wohl kaum funktioniert.

    @Martin:

    „Ich bin ja bestenfalls ein Beispiel für eine anderslautende Sichtweise.“

    Nein.
    Nochmal:
    Viren suchen sich ihre Wirte nicht nach Meinungen oder „anderslautenden Sichtweisen“ aus.

    „Gleichzeitig kenne ich neben meinen eine ganze Reihe von ungeimpften Kindern, die vollkommen normal gesund sind.“

    Bis sie sich bei einem anderen ungeimpftem Kind anstecken.
    Mit Masern zB.
    Und mit einer Wahrscheinlichket von ca. 1 unter 1000 Komplikationen bekommen, die unter Umständen schwere, lebenslange Schäden hinterlassen.

  123. ‚@Martin und @alabere:

    Nachtrag:

    Nur mal so aus Interesse:

    Was hat denn eurer Meinung nach die Pocken weltweit ausgerottet und Polio in vielen Gegenden der Welt?

    Wie lässt sich das ohne Impfungen erklären?

  124. Eine Google-Recherche mit „Geschichte des Impfens“ bringt all das Material zu Tage, auf das sich Impfgegner stützen, – eine unheimliche Geisterbahnfahrt zurück in die gute alte Zeit!

    Ausrottung der Pocken wird zB mit besseren Lebensbedingungen, Hygiene, Sauberes Trinkwasser, etc. erklärt.

    Wer impft, ist eben noch ein Anhänger des „Bakteriozentrischen Weltbildes“ …

    Nebenbei: 2008/09 gab es in zwei Kantonen in der Schweiz, Baselland und Luzern, endemische Ausbrüche von Masern. Das war nicht zufällig, sondern ganz klar bedingt durch den massiven Widerstand von impfkritischen Eltern und/oder anthroposophisch Anstalten und Schulen.
    (Siehe https://archive.is/M4z7 )

  125. ‚@G.K.:

    „eine unheimliche Geisterbahnfahrt zurück in die gute alte Zeit!“

    Wohl eher eine Reise in die schreckliche neue Zeit der verdummung des „gebildeten“ Mittelstands.

    In der „guten alten Zeit“ war man froh, wenn wieder eine Infektionskrankheit ihren Schrecken verloren hatte, weil entweder eine Impfung dagegen entwickelt wurde oder passende Antibiotika.

    Ich frage mich wie „gebildet“ die Martins dieser Welt eigentlich sind um zu ignorieren, wie diese Fortschritte ihnen erst ihr verhältnismässig sorgenfreies Leben ermöglichen ….

  126. ‚@ Martin:

    Ich habe einen guten Kumpel, dessen Kind Neurodermitis bekommen hat – nach einhelliger Meinung ein Impfschaden

    Wessen Meinung?

    (der zugegeben sehr selten in der Form auftritt).

    „sehr selten“ = „niemals“ – ein solcher Zusammenhang ist wissenschaftlich nicht bekannt

    Die Neurodermitis führte zu ständigem Wahchsein und zu schweren Hirnschädigungen in der frühkindlichen Entwicklung.

    Nö, sowas macht eine Neurodermitis nicht.

    ach, ich habe noch vergessen, das mit dem “wer verdient sein Geld mit Impfen” aufzulösen:
    Woher beziehen denn die, die keine “Patienten-Erfahrungen” haben, ihr Wissen? …
    Ich komme aus dem Bereich Marketing.

    Tja, und woher beziehst Du dann Dein „Wissen“?

  127. Ich hab den Eindruck hier arbeitet sich jemand am „Manifest der Unbelehrbarkeit“ entlang, das seit ein paar Monaten im Netz rumschwirrt. Es ist eine Warnung vor bezahlten Forentrollen, die in einschlägigen Internetforen weitergereicht wird unter Titel wie z.B. “ Wie erkenne ich einen bezahlten Troll“.

  128. ‚@ Naivi:

    Wenn es nicht so traurig wäre, möchte man ja fast lachen: da hat wohl jemand sehr schön sich selbst beschrieben. Dazu die übliche Paranoia und kackbraune Propaganda.

    Ich frage mich ja immer, was genau (und wann) bei solchen Leuten in der Schulbildung schief gelaufen ist. Ich meine: selbst mit einem durchschnittlichen Hauptschulabschluss sollte man den ganzen Eso- und Rechts-Müll wenn schon nicht komplett durchschauen, so doch zumindest ansatzweise in Frage stellen können/müssen. Woran liegt nur diese fortschreitende Volksverdummung?

  129. Ach ja, was mir noch auffällt: die VTler reden ja immer so gerne von den seriösen Meldungen im Internet als „Mainstream“. Wenn ich das richtig verstehe, ist ja „Mainstream“ so etwas wie Hauptströmung und/oder Mehrheitsmeinung. Wenn ich aber nun bei einer Google-Suche zu einem bestimmten Stichwort als erstes 5 Eso- und VTler-Links angezeigt bekomme, ist das doch wohl „Mainstream“, oder?

    Und dann immer die „Systemmedien“, die ja anscheinend so pöhse sind. Komisch nur, dass von VTlern so ziemlich alles geglaubt wird, was auf den Seiten von staatlichen russischen Nachrichtenagenturen verbreitet wird. Sind das etwa keine „Systemmedien“?

    Just my 1/50€.

  130. ‚@noch´n Flo
    Da kann man natürlich nur mutmaßen, bei manchen glaub ich die pushen damit ihr Ego und glauben Persönlichkeit hätte was damit zu tun, sich von der Masse abzuheben.
    Bei Anderen könnte man meinen es fehlt an Bildung und dann gibts die Mitläufer, die irgendwo einen Mentor haben, dem sie blind folgen.
    Traurig ist es in jedem Fall.

  131. ‚@noch ´n Flo
    Was mir beim Nachrichtenfluss aufgefallen ist, ist dass Meldungen mehr Gewicht verlieren wird, wenn sie in geschlossenen Gruppen verteilt werden. Hab ich jetzt schon ein paar Mal gelesen, dass das und dies ja stimmen muss, weil die und die Gruppe es verteilt und da kommt ja nicht jeder rein…

  132. ‚@noch´n Flo
    Yep. Wie das Apfelkuchenrezept meiner Oma. Das versteckt bestimmt die „Weltenformel“. Aber ich werde dieses Geheimnis hüten und nur an die genetische „Elite“ auf dem Sterbebett weitergeben Oder als Youtube-Video in geschlossenen Newsgroups. Mal sehen, wies meinem Ego bis dahin geht 😉

  133. Naivi: Oder du gründest einen Apfelkuchenkult, bei dem die Mitglieder auf der höchsten Stufe der Erleuchtung das Rezept erhalten. Bis dahin müssen sie aber reichlich (natürlich kostenpflichtige) Kurse buchen.

  134. ‚@noch´n Flo
    Apple Pie of Doom, habe ich noch nie gehört.
    Der Apfelkuchen stellt auf wundersame Weise das Wohlbefinden der Konsumenten wieder her und es gab hier schon ganz merkürdige Aktionen um an das Rezept zu kommen wie z.B. heimlich die Rezeptsammlung durchzblättern, oder das Kind, das regelmäßig zur Vorbereitung auf die Initation der Herstellung beiwohnt,
    mit einer GANZEN Tüte Gummibärchen zu bestechen.

    Naja, die Menschen sind manchmal schon wahnsinnig.

  135. ‚@Martin:

    Ich komme aus dem Bereich Marketing.

    Wundert mich kein Stück. Wer sich den ganzen Tag mit Lügen und Euphemismen beschäftigt, ohne das zu bewerbende Produkt verstehen zu müssen, der kann schon mal von unzulässig vereinfachenden Aussagen auf einen falschen Dampfer geschickt werden. Es ist ja nicht so, daß ich nicht auch ab und zu das zu sehen bekäme, was eine Marketingabteilung der Firma aus den an auch meinem Tisch entwickelten technischen Produkten herausfabuliert. Ich weiß auch, daß noch kein Marketingfuzzi je hier aufgeschlagen wäre, um sich über das Produkt wirklich zu informieren.

    Ich habe einen guten Kumpel, dessen Kind Neurodermitis bekommen hat – nach einhelliger Meinung ein Impfschaden (der zugegeben sehr selten in der Form auftritt). Die Neurodermitis führte zu ständigem Wahchsein und zu schweren Hirnschädigungen in der frühkindlichen Entwicklung. Gleichzeitig kenne ich neben meinen eine ganze Reihe von ungeimpften Kindern, die vollkommen normal gesund sind.

    Wie bereits erwähnt und von dir wie üblich schön ignoriert: kein Wunder.
    – Anekdoten sind keine Daten (egal, was du erzählst: du kannst es nicht belegen)
    – selektive Aussage (du erwähnst nicht das Verhältnis gesunder/kranker Kinder und auch keine absoluten Zahlen)
    – Vernachlässigung der Herdenimmunität (mit wievielen geimpften Kindern kommen deine und die, die du ansprichst in Kontakt und sind wegen derer Impfungen noch gesund)
    – Vernachlässigung der Kreuzwirkung (eine Kinderkrankheit ist kein Problem – 6 oder 9 derer gleichzeitig auch?)
    – was, glaubst du, wäre passiert, wenn das erwähnte Kind nicht die Impfung, sondern die Masern schlecht vertragen hätte?
    Versuchs einfach weiter…

  136. ‚@Naivi: Du gibst natürlich nur die obersten Kurse selber, den Rest darf das gemeine Fußvolk machen.
    Ansonten: Ist natürlich geheim. Sonst wäre ich ja kein guter Agent.

  137. ‚@Chris
    Ach schade, ich hätte so gern eine fundierte Ausbildung in Tischplatten Headbanging, Popcorn machen und beidhändigem Facepalming. Aber gut, ich bewundere Euch einfach im Stillen und ess Apfelkuchen

  138. ‚@Naivi: Na gut, zwei, drei Kleinigkeiten verrate ich noch: Zu Training gehört auch, nicht immer gleich in die Tischplatte zu beissen. Und ausserdem Tippen von Artikeln mit der Nasenspitze, falls man mal wieder beide Hände vor den Kopf geschlagen werden müssen. Popcorn gibts aus der strategischen Popcornreserve. Das war auch neulich beim 30C3 zu bewundern.

  139. ‚@ Naivi:

    Ach schade, ich hätte so gern eine fundierte Ausbildung in Tischplatten Headbanging, Popcorn machen und beidhändigem Facepalming.

    Ja und? Du bist doch bereits mehrere Semester an der ScienceBlogs-Akademie mit Hauptfach „Blogaktivitäten für Fortgeschrittene“ immatrikuliert. Da kannst Du alles oben Genannte problemlos als Wahlpflichtkurs belegen.

    (Nebenbei: der Abendkurs „Wie schaffe ich einen stehenden Begriff, der von der Bloggemeinde als zitatwürdig erachtet wird?“ mit Prof. h.c. Bullet ist sehr zu empfehlen.)

  140. ‚@noch´n Flo
    Ich weiß nicht, ob ich noch mehr Wahlfächer schaffe, aktuell bereitet mir der Gastredner schwere Verständnisprobleme in den Bereichen Logik und Moral. Aber ich überlegs mir.

  141. So, ich habe mir gestern nach der Intervention von Florian striktes Computerverbot erteilt, bis ich wieder „unten“ bin.

    @Martin:

    „… und um mich oder meine Person geht es ja letztlich gar nicht. Ich bin ja bestenfalls ein Beispiel für eine anderslautende Sichtweise.“

    Nein falsch. Ich greife Dich, Martin, tatsächlich persönlich an-nicht als pöse Gehilfin der Pharmaindustrie“ die „einschüchtert“ (Wie soll das denn gehen? „Ey ich weiss wo Dein Haus wohnt, und habe einen grossen Bruder?“), sondern als Mutter von zwei Kindern (die übrigens beide geimpft sind und sich prächtig entwickeln) und ich sage Dir: Du bist absoluten Fehlinformationen aufgesessen, den Links von Impfgegnern, die man als erste im Internet findet, wenn man 5 Minuten „Impfen“ googelt, die übrigens ausserordenltich geschickte Marketingexperten haben und sehr, sehr gut mit Büchern, Seminaren und ihrem „Scharlartanerie“produkten verdienen.
    Und wenn Du mit Deiner“Bildung“ nicht in der Lage bist, Dir, bevor Du eine für die Gesundheit Deiner Kinder wichtige Entscheidung triffst, genügend Zeit zu nehmen, ausreichend Informationen einzuholen und vernünftig abzuwägen- dann darf ich Dich vollkommen berechtigt für einen schlechten Vater halten. Du hast Glück gehabt, dass es Deinen Kindern gut geht. Schnallst Du Deine Kinder eigenltich auch nicht an, weil Du den einen Fall, dem es das Leben gerettet hat, weil er nicht angeschnallt war, höher wertest, als die hunderte, denen der Gurt das Leben gerettet hat?

    Du kommst mit einer Anekdote des Freundes mit dem schwerkranken Neurodermitis Kind, dass nach „Einhelliger Meinung“ diese von der Impfung hat? (mit der habe ich Dich ja erwischt, Lügen gehört halt zum Marketinggeschäft dazu, gell?- da komm ich später noch drauf),
    Hast Du meine persönlichen Erfahrungen gelesen-ich bin an den Masern fast draufgegangen. So-dass zu Dir als Mutter von Zweien.

    Als
    Hast Du die Tabelle gelesen, die kommt nicht von „Big Pharma“ sondern vom Bundesgesundheitsamt Schweiz? (UN-abhängig von irgendwelchen Pharmaunternehmen.)
    Kannst auch beim Robert Koch Institut nachgucken, falls Du „den Schweizern“ nicht traust.
    Die ist nicht substanzlos.
    Siehst Du wieviel höher die Risiken für ungeimpfte Kinder sin für gefährliche Krankheitsverläufe
    -und wo und wie sollen Masernimpfungen doch gleich Neurodermitis auslösen?
    Belege? Wer hatte die „einhellige“ Meinung, dass die Neurodermitis von der Impfung kommt? Du? Nach 20sek Googeln?
    – weisst Du wie Neurodermitis entsteht?
    Masernimpfstoffe stehen nicht einmal in Verdacht, Neurodermitis auszulösen
    (wer nachprüfen möchte: hier der Beipackzettel: http://www.kompendium.ch Suchbegriff „Priorix tetra“-das ist der Vierfachimpfstoff MMR u.Windpocken
    So- Deine Gegenbelege?
    Ich halte Deine Geschichte von Deinem Freund übrigens schlicht für eine dreiste Lüge:

    „Ich habe einen guten Kumpel, dessen Kind Neurodermitis bekommen hat – nach einhelliger Meinung ein Impfschaden (der zugegeben sehr selten in der Form auftritt). Die Neurodermitis führte zu ständigem Wahchsein und zu schweren Hirnschädigungen in der frühkindlichen Entwicklung.

    .
    Da habe ich Dich erwischt- leider habe ich vorher in einer Neurodermitis-Klinik gearbeitet. Wir haben die schwersten Fälle, die als „austherapiert“ galten behandelt. Kinder- die aussahen, als wenn man sie am ganzen Körper verbrüht hatte, die sich nachts von oben bist unten blutig gerkratzt haben und deshalb kaum Schlaf kriegen konnten.Teilweise mit schweren Superinfektionen und dauernd am Weinen.
    Keines der Kinder hatte eine „Hirnschädigung“ aufgrund der Neurodermitis- sie waren natürlich tagsüber wenig aufnahmefähig, gediehen schlechter udn hatten ggf auch leichte Entwicklungsverzögerungen aufgrund des Schlafmangels, die aber problemlos, wenn die Haut abheilte, in Riesenschritten aufgeholt wurden.
    Und nochmals, welche Impfung soll denn bitte Neurodermitis auslösen?

    .ach, ich habe noch vergessen, das mit dem “wer verdient sein Geld mit Impfen” aufzulösen:
    Woher beziehen denn die, die keine “Patienten-Erfahrungen” haben, ihr Wissen? …
    Ich komme aus dem Bereich Marketing. Und glaubt mir: wenn ihr die Mittel, die die Pharma-Industrie in “Pro Impfen” investiert, mir gebt, dann würdet ihr in einem Jahr mir bzw. den Kritikern glauben 😉

    .
    Hmm, mich beschleicht da so ein Verdacht, dass da „von gewissen Seiten“eventuell schon diese Mittel geflossen sind, damit man Dir und den Kritikern glaubt 😉
    So hoch im Google Ranking sind die auch nicht, weil die Seiten so gehaltvoll sind, sondern weil sie es hinbekommen, dass auf sie von vielen Seiten hingewiesen wird, auch Google Rankings kann man sich nötigenfalls erkaufen
    Zum Thema: Die Pharmaindustrie verdient so gut und die Impfungen sind nicht nur überflüssig sondern gefährlich:
    Ööööööh, auch die Pharmamitarbeiter haben Kinder, die sie lieben und die sind durchgeimpft.
    Und Kostenvergleich: siehe Tabelle Bundesgesundheitsamt:
    1 Million Impfungen (2 Dosen) kosten 140 Millionen Franken vs
    1 Million Erkrankte kosten zwischen 3,6 und 5 Milliarden Franken- viieeeel grösserer Profit

  142. ‚@Naivi:
    Ich bin ja eher ein open Source (oder Open Sosse?) Verfechter bei Familienrezepten. Geteilte Freude ist schliesslich doppelte Freude!
    Ich kann aber verstehen, dass Du mit dem Gastredner Probleme hast:
    -er belegt nichts
    -er redet darauf los ohne wirklich auf Gegenargumente einzugehen- das frustriert
    (*flüstert*: Ich vermute, er kommt bloss wegen des guten Kaffees und der Käsebrötchen in die Vorlesungen, aber das kann ich natürlich nicht beweisen)

  143. So, da ich mir vorstellen kann wie die Diskussion hier ab lief, habe ich nur letzten 20 Kommentare durchgelesen.

    Zum Marketing fällt mir ein:
    Ingenieur zum Marketingexperten:
    „Sie haben unseren Kunden etwas versprochen was wir niemals einhalten können. Wissen sie eigentlich was das heißt?“ Antwort: „Na klar, ich bin ein guter Marketingexperte und Sie ein schlechter Ingenieur“

    Zu den Kosten/ Gewinn der Impfung.
    Ich weiß jetzt nicht wie genau die Diskussion in die Richtung ging aber die Kosten der Impfung gegen die Kosten der Behandlungen auf zu rechnen um das als Gegenargument zur Geldgier zu bringen ist auch unsauber.
    Denn kosten ist ungleich Gewinn. Zudem werden auch mehr Leute geimpft als selbst im schlimmsten Fall erkranken würden.
    Allerdings sehe ich hier auch kein wirkliches Problem. Ein Konzern will Geld verdienen? Wow, was für eine Erkenntnis. Vollkommen belanglos. Nicht der Konzern entscheidet über die Impfung sondern wer ganz anders. Und bei denen liegt das Ziel darin möglichst wenig aus zu geben bzw, den gesamtgesellschaftlichen Schaden möglichst gering zu halten. Jetzt kann man natürlich sagen, die sind eh alle Korrupt, aber das hat erst einmal Null Aussagekraft auf die Richtigkeit der Entscheidung. Wäre dem nicht so wäre ja jede Entscheidung die die treffen automatisch falsch. Somit auch die, das Alternativmedizin nicht verboten ist oder jede andere Gegenthese die man aufstellen könnte. Man muss denen ja nicht vertrauen, Wissenschaft arbeitet ja zum Glück reproduzierbar.

  144. ‚@ Martin – Post #102
    „(…) Wir trauen (als gebildete Menschen) der Natur mehr als der Pharma-Industrie. So einfach ist das.“

    Tut mir leid, aber „die Natur“ ist keine Entität, vor allem keine die in irgend einer Art und Weise bestimmte Ziele verfolgt.

    Wenn du dir die Natur unbedingt vermenschlichen willst, dann gibt es da eigentlich nur ein passendes Bild: Ein kleines Kind mit einem Chemiebaukasten das unentwegt alle möglichen Chemikalien vermischt.

    In diesem Chemie-Cocktail versuchen nun seit ein paar Milliarden Jahren lebene Zellen nicht zu sterben.

    Das ist alles, kein höherer Sinn und keine leitende Entität.

  145. ‚@Hobbes:

    Ich weiß jetzt nicht wie genau die Diskussion in die Richtung ging aber die Kosten der Impfung gegen die Kosten der Behandlungen auf zu rechnen um das als Gegenargument zur Geldgier zu bringen ist auch unsauber.
    Denn kosten ist ungleich Gewinn. Zudem werden auch mehr Leute geimpft als selbst im schlimmsten Fall erkranken würden.

    Nnnnnnjeiiinnn, die Quelle ist das BAG (Bundesgesundheitsamt)- das hat Interesse daran, dass man gesund bleibt und die entstehenden Kosten eingedämmt ).
    Und die Pharmaindustrie könnte bei einer grösseren Masernepedemie schon ordentlich absahnen-wenn keiner mehr geimpft wäre- Masern sind hochkontagiös……

  146. Ach, deshalb sind Tuben mit „U“s auch nicht mehr im Handel erhältlich, während es Buchstabensuppe noch in jedem Supermarkt zu kaufen gibt.
    Tips zum Selberbasteln als Ersatz: Einfach den Vokal aus der Suppe rausfischen und ab damit in die Londoner Metro.

  147. ‚@Florian:

    🙂

    Die beiden wollten nur vermeiden, dass sie allein durch die Nennung jener online Video-Plattform in der Moderation landen …

    Jehova! Jehova!

  148. ‚@oliver:
    Wohlgemerkt handelt es sich bei dem entsprechenden Chemiebaukasten um ein etwas älteres Modell, bei dem noch Dinge wie Kaliumchlorat, roter Phosphor, etwas Kaliumcyanid und diverse Arsenverbindungen drin sind. Mit einem heutigen Chemiebaukasten braucht es für eine Gesundheitsgefährdung schon sehr viel Erfindungsreichtum. Ja, ich weiß daß Idioten immer besonders erfindungsreich sind…

  149. ‚@Bullet

    Nichts zu danken.
    Mir platzt jedes mal die Hutschnur wenn ich irgendjemand sagen höre: „Die Natur will dies, die Natur will das…ich vertrau darauf das die Natur alles richtig macht…“

  150. ‚@ oliver:

    Das sind dieselben Leute, die beim Tod an ein Skelett mit Sense und schwarzem Umhang denken, das dazu neigt, IN GROSSBUCHSTABEN ZU SPRECHEN.

    (scnr)

  151. ‚@oliver, noch’n Flo:

    „Mir platzt jedes mal die Hutschnur wenn ich irgendjemand sagen höre: “Die Natur will dies, die Natur will das…ich vertrau darauf das die Natur alles richtig macht…”

    Natürlich tut sie das. Wieso sonst sollte sie solch gebildete und aufgeklärte Geschöpfe wie die Martins dieser Welt in selbige setzen?

    Nur um uns zu nerven wäre ein zwar möglicher aber doch recht unwahrscheinlicher Grund, oder?

    😉

  152. Ach so, eins noch zum Thema „Pocken etc. sind durch bessere Hygiene verschwunden“:

    Ich hatte ja oben schon das Ende der Polio in Indien erwähnt – jetzt aber mit Link:

    https://www.sueddeutsche.de/gesundheit/polio-indien-feiert-ausrottung-der-kinderlaehmung-1.1862219

    Das hat bestimmt mit den super hygienischen Bedingungen in Indien zu tun.

    In Pakistan (wo die Bevölkerung unter etwa den gleichen Bedingungen lebt) ist Polio hingegen immer noch endemisch.
    Und zwar weil bestimmte Leute aktiv verhindern, dass die Impfrate unter den Kindern auf ein ausreichendes Mass steigt.

    Errinnert mich an die Masern und gewisse gebildete Mittelschichten hier in Europa …

  153. ‚@noch’n’Flo:
    Naja, Pratchett-Fans denken schon, daß die Natur das richtig macht. Nur erledigt sie Menschen mit entsprechenden Ansichten leider nicht sonderlich zielgenau…

  154. „Das sind dieselben Leute, die beim Tod an ein Skelett mit Sense und schwarzem Umhang denken, das dazu neigt, IN GROSSBUCHSTABEN ZU SPRECHEN.“

    Selbiger wird bald meine Wade zieren. Freu mich schon…

    BTT:

    Ich hatte es an anderer Stelle schonmal erwähnt: Rügen leereäumen, alle Anhänger der Komplementären Idiotie und Impfverweigerer dorthin. Bekommen alles was sie wollen, und wenn es ne Playstation in jedem Zimmer ist.

    Das einzige was es nicht gibt: Dinge von der Pharmamafia und pöhse „Schul“Medizin. Klangschalen und Akupunkturnadeln gibts dafür in rauen Mengen.

    Und das Problem erledigt sich in kurzer Zeit.

  155. ‚@Wolf:

    Ach, auch ein verspäteter APPD-Anhänger?

    https://de.wikipedia.org/wiki/Anarchistische_Pogo-Partei_Deutschlands#Pogo-Rassismus

    Ich persönlich würde allerdings auch gewisse andere Gegenden Mecklenburg-Vorpommerns mit einbeziehen; Rügen ist einfach zu schön zum Verschmeißen, und so könnte man

    a) der dortigen Landflucht und
    b) gewissen Schnittmengen

    Rechnung tragen.

    Hamer scheint sich in Teilen der Rechten einer ähnlichen Beliebtheit zu erfreuen wie in Steiner in Teilen der, ächz, „Linken“…

  156. „Rügen ist einfach zu schön zum Verschmeißen,“

    Und vor allem einfach zu klein für die ganzen Nasen – soweit wie sich dieser Unsinn schon verbreitet hat …

  157. ‚@Wolf Manchmal denke ich genauso aggressiv, wie du. Vor allem wenn ich mal wieder einen dieser Superschlauen schwurbeln höre. Aber RÜGEN? Schau auf meinen Nick. NIMBY! 😛 🙂

  158. ‚@ Wolf:

    Klangschalen und Akupunkturnadeln gibts dafür in rauen Mengen.

    Bist du nicht mehr auf dem Laufenden, oder wie soll ich das interpretieren, dass Du als Beispiel für Voodoomedizin nun ausgerechnet die beiden Spielarten der AM nennst, bei denen sich derzeit in Studien herauskristallisiert, dass da (zumindest ansatzweise) tatsächlich etwas dran ist?

  159. ‚@ Trottelreiner:

    Hamer scheint sich in Teilen der Rechten einer ähnlichen Beliebtheit zu erfreuen wie in Steiner in Teilen der, ächz, “Linken”…

    Und dabei ist Steiners Lehre stellenweise sowas von tiefbraun… ich frage mich ja, was so manche Waldorf-Eltern sagen würden, wenn man ihnen mal die Steiner’sche Rassenlehre näher brächte…

  160. ‚@noch’n Flo:
    Ach, frag mich nicht…
    Ich sehe das Ganze langsam wie Marx/Schumpeter; der Kapitalismus entwickelt langsam einen prozentual immer größeren Bedarf an besser ausgebildeten Menschenmaterial; einmal ausgebildet, ist dieses dann einerseits mit dem nachströmenden Arbeitskräften und andererseits mit dem langsamen Abbau ihrer Stellen konfrontiert. Ergebnis: Sie rebellieren gegen die moderne Industriegesellschaft, wollen aber ihre Privilegien behalten. Ob die Damen und Herren dann Mussolini, Stalin oder Pol Pot, Haider oder Chavez hinterherlaufen, ist eher eine Frage der Mode als der persönlichen Einstellung. Manchmal auch allen zusammen.

    Um den achatenen Fluch zu zitieren: Mögest du in interessanten Zeiten leben!

  161. ‚@Wolf&co
    Eureka!
    Die Lösung heißt Sylt. Als Arbeitstitel erscheint mir Operation Quietscheentchen angemessen.

    Vorteile
    – Kaum noch indigene Bevölkerung
    – Schlechte Verkehrsanbindung(->Geringe Fluchtgefahr)
    – Steuerersparnis von >50Mio€ durch Einstellung des Küstenschutz(Nachhaltigkeitsprämisse)
    – Zahlungsfreudige Laufkundschaft bereits vorhanden
    (Ergänzen sich gut)
    Bonus: Nicht wenige werden sich dann als die neuen Atlanter bezeichnen. Lassen Sie Ihrer Phantasie freien Lauf! Das Stichwort lautet „alternativer Küstenschutz“.

    Nachteile?
    – Fallen mir keine ein… außer für Sylt natürlich.

  162. ‚@noch´n Flo:

    Ächt jetz? Nee…. 🙁

    Also bei der Akupunktur und Schmerzen, ok, das habe ich schon mitbekommen. Aber Klangschalen? Da musste ich nur an die herrliche Szene beim Besuch der Esomesse denken 🙂

    @All:
    OK, ähnlich wie die Schweizer haben wir entschieden Rügen nicht den Esos zu überlassen. Sie werden stattdessen nach Sylt verfrachtet. Aber nur, wenn die Geissens und der Bohlen ebenfalls da untergebracht werden. 🙂
    (Bohlen könnte dort auch als Gott verehrt werden: Er ist in der Lage aus Schei*e Gold zu machen)

    BTT :

    Ja manchmal denke ich so böse. Und manchmal frage ich mich auch, was denn wird, wenn die Kinder dieser Leute selbst mal Kinder haben…

  163. ‚@ Wolf:

    Die Vibrationen der Klangschalen haben wohl einen ähnlichen Effekt wie die Elektrotherapie bei Muskelverspannungen. Gibt aber bislang erst wenig Forschung dazu.

  164. ‚@ Wolf:

    Eine Geschichte, die zu Herzen geht. Das Allerschlimmste ist ja, dass es sich hier nicht einmal um ein Impfgegnerkind handelt, sondern dass der Junge von ungeimpften Kindern infiziert wurde, bevor er selber geimpft werden konnte. Wie es auf der einen Seite so schön heisst: „er hatte keine Chance“.

    Wenn ich solche Sachen lese, packt mich jedes Mal die Wut.

  165. ‚@nFlo
    Ich dachte Akkupunktur ist nix oberhalb Placebo, da gab es doch vor nicht allzu langer Zeit eine Metastudie, die zeigte dass es egal ist wo und mit was man piekst, oder irre ich?

  166. Stop, Herr Freistetter! Sie sind kein Arzt und haben keine Plan davon, was bei Imfungen wirklich abgeht oder besser gesagt, was drinnen steckt. Lassen Sie die Menschen doch Ihre eigenen Entscheidungen treffen, ob sie impfen oder nicht.

    Warum nimmt sich jeder heraus, Impfungen als so wichtig zu sehen, und andere zu diskriminierung, nur weil diese Menschen davon nichts halten?

    Wenn diese Impfungen doch so gut sind, dann brauchen die jenigen, die sich haben impfen lassen, keine Gedanken machen.

    Kümmern Sie sich um die Sterne, anstatt hier nen Artikel über Impfungen zu verfassen und Gegner zu verteufeln.

  167. ‚@ G. Pelz:

    Sie sind kein Arzt und haben keine Plan davon, was bei Imfungen wirklich abgeht oder besser gesagt, was drinnen steckt.

    Du auch nicht. Ich schon. Daher sage ich Dir: hör auf, hier so herumzupaulen.

    Lassen Sie die Menschen doch Ihre eigenen Entscheidungen treffen, ob sie impfen oder nicht.

    Es ist leider nicht nur ihre eigene Entscheidung, wenn sie damit andere Menschen gefährden (und schlimmstenfalls diese sogar sterben).

    Warum nimmt sich jeder heraus, Impfungen als so wichtig zu sehen, und andere zu diskriminierung, nur weil diese Menschen davon nichts halten?

    Weil diese Menschen verantwortungslose Egoisten sind.

    Wenn diese Impfungen doch so gut sind, dann brauchen die jenigen, die sich haben impfen lassen, keine Gedanken machen.

    Darum geht es auch gar nicht.

    Kümmern Sie sich um die Sterne, anstatt hier nen Artikel über Impfungen zu verfassen und Gegner zu verteufeln.

    Das hättest Du wohl gerne…

  168. Wenn diese Impfungen doch so gut sind, dann brauchen die jenigen, die sich haben impfen lassen, keine Gedanken machen.

    Was ist mit denjenigen, die noch zu klein sind, um bereits geimpft zu werden (Babys)? Lassen wir die dann einfach sterben, wenn sie ein Nicht-Geimpfter ansteckt, oder wie stellst du dir das vor? So nach dem Muster: „Tut mir auch schrecklich leid, wenn ich dich in der Strassenbahn angesteckt habe, aber ich will nicht 4 Tage mit einer Beule rumrennen – da gehe ich lieber das Risiko ein, dass du stribst. Kann mir ja schliesslich keiner hinterher mehr nachweisen, dass ich dich angesteckt habe.“

    Ja? Ist das deine Denkweise?

  169. ‚@ noch´n Flo

    Du solltest Dir einmal den „Herrn Karl“ von Helmut Qualtinger
    anschauen. Der war auch ein Typ der immer auf der Höhe der Zeit war.
    Wenn es dich erschreckt kannst Dich dann mit einer Klangschale beruhigen.

  170. ‚@ Kallewirsch

    Wenn das so funktionieren würde, könntest Du überhaupt nirgends mehr hingehen, keinen Geldschein in die Hand nehmen, usw. So kann es nicht sein. Der Boden auf den der Virus trifft ist doch entscheidend.
    Kann er seine Wirkung entfalten oder kann er nicht.
    Das ist wichtiger als der Virus selbst.

  171. ‚@alabere

    Der Boden auf den der Virus trifft ist doch entscheidend.

    Und worauf willst du jetzt hinaus?
    Wenn sich ein Geimpfter den Masernvirus einfängt, dann hat der keine große Chance sich zu vermehren. Das Immunsystem eines Geimpften erledigt ihn, noch ehe diese Person selbst zur Virenschleuder wird.
    Im übrigen werden Masern-Viren nicht über Geldscheine übertragen, wenn ich mich nicht irre.

    Das man nicht alle Quellen fern halten kann, ist schon klar. Aber man kann die Hauptquelle ausschalten, in dem man sich impfen lässt. Die Chancen von der Impfung einen bleibenden Schaden davon zu tragen, sind ungleich kleiner als einen bleibenden Schaden bei einer Erkrankung davon zu tragen oder als Überträger zu fungieren und so bei anderen Nicht-Geimpften das Risiko eines bleibenden Schadens hervorzurufen. Jeder Geimpfte ist ein Hindernis, welches sich einem Virus bei der Verbreitung in den Weg stellt. Gibt es genügend Hindernisse kommt er nicht weit.

    Man kann auch nicht alle Verkehrsunfälle so weit abschwächen, dass alle überleben. Aber durch die Einführung des Sicherheitsgurtes und der Kindersitze haben heute mehr Menschen eine Chance zu überleben als sie es zuvor hatten.

  172. Kann er seine Wirkung entfalten oder kann er nicht.
    Das ist wichtiger als der Virus selbst.

    Das Wichtige ist, dass es 2 (in Worten: ZWEI) Themenkreise gibt!

    a) was macht der Virus in meinem Körper?
    b) verbreite ich selber aktiv den Virus und stecke so andere an?

    Beide(!) Themenkreise sind untrennbar mit einer Impfung verbunden. Ist der Themenkreis b) zu meiner Zufriedenheit mit ‚Nein‘ zu beantworten, senke ich das Risiko für andere, die sich dann a) nicht mehr zu fragen brauchen, weil sie von mir nicht angesteckt werden. Und das ist nicht nur theoretisch so. Bei Babys im ersten Jahr, deren Immunsystem noch nicht so weit ist, dass man sie impfen kann, ist es essentiell wichtig, dass sie nicht von anderen angesteckt werden!

    Das ist doch nicht so schwer zu verstehen. Oder doch?

  173. Noch`n Floh

    „Zugegeben – solche Ärzte gibt es. Die machen dann nämlich jeden unwissenschaftlichen Blödsinn, der ihnen Geld in die Kassen spült, z.B. Bioresonanz, Homöopathie, Dorn-Therapie uvm.“

    Ich glaube, die waren nicht gemeint. Viel eher die, die trotz besseren Wissens neue aber weniger wirksame Medikamente verschreiben, die wissentlich Schrott in die Patienten einbauen (Gelenke u. Implantate, die in anderen Ländern schon länst verboten waren), die angeblich für gute Honorare Studien durchgeführt haben, obwohl diese „Studie“ von irgendwelchen Reklamefirmen geschrieben wurden und die einzige Leistung der Ärzte die Unterschrift war und und und…
    An die Schäden, die diese Damen und Herren anrichten, sind um ein vielfaches höher, als alle Esospielchen von Ärzten zusammengenommen.
    Übrigens: Mein Hausarzt meinte, in meinem Zustand sei eine Lungenentzündung wohl das Ende. Ich habe mich sofort impfen lassen. Werde berichten, ob ich die Impfung überlebt haben werde.

  174. ‚@FF

    Einfach ignorieren die Trolle… Ist gar nicht so schwer, wie es aussieht.

    Mein lieber Herr Freistetter kümmern Sie sich bitte um die Sterne, von Trollen (oder Impfungen) haben sie doch keine Ahnung.
    Ich finde es schon ziemlich dreist, wenn hier jemand dem Blogbetreiber vorschreiben möchte über was er zu bloggen hat, aber du bist da ja zum Glück ziemlich dickfellig 😉

  175. Ja das ist es. In Aschaffenburg leidet ebenfalls ein kleines Mädchen an SSPE. Ich habe mir die Kommentare nicht alle durchgelesen, da ich gerade nicht die Nerven besitze mir die ganzen Esoterikerweisheiten und Pseudowissenschaftler anzutun…

  176. ‚@#147, Curious.Sol: Ich habe keinen Vergleich zwischen Homöopathie und Impfung angestellt, ich habe die Homöopathen beim Wort genommen: Gleiches mit Gleichem bekämpfen. Das ist die Definition von Impfung. Einen anderen Fall, bei dem dieses Prinzip funktioniert, kenne ich nicht, aber bei Impfungen funktioniert es vorzüglich. Lesen Sie bitte aufmerksamer.

  177. ‚@ dude:

    Tja, die Unis achten auch schon lange nicht mehr darauf, wem sie ihre Räumlichkeiten so vermieten.

    Und die liebe Frau Stadelmann ist auch mal wieder am Start – die hat sich doch erst vor eineinhalb Jahren hier auf dem Blog so richtig schön blamierrt…

  178. ‚@ dude:

    Uff, da fragst Du mich jetzt etwas… ehrlich gesagt bin ich nicht mal mehr ganz sicher, ob das hier bei Florian war oder bei einem anderen SBlogger.

  179. Eine grundsätzliche Frage zum Thema Impfung/Argumentation mit Impfgegnern:
    Neben dem bekannten Autismus-Blödsinns ist ein Argument, dass ich von Impfgegnern gelegentlich zu hören bekomme: Impfen, vor allem die modernen Vielfachimpfungen, könnte den kindlichen Organismus durch die hervorgerufene Immunreaktion überlasten und damit lebensgefährliche Schockzustände verursachen. Was mich in der Hinsicht zugegebenermaßen etwas verunsichert ist die Tatsache dass ein Cousin von mir als sogenannter „Impfschaden“ tatsächlich schwer behindert ist.

    Gibt es dazu Zahlen/Daten/Fakten mit denen man jenseits der Anekdoten argumentieren kann?

  180. ‚@haarigertroll:

    Die grosse Zahl als solche ist da ein guter Anhaltspunkt.

    MMR bzw MMRV Impfungen wurden inzwischen in den Industriestaaten hunterte millionenmal verabreicht – was unter anderem zu einer faktischen Ausrottung der Masern in vielen Staaten geführt hat.

    Konkrete Zahlen bez. Risiko bei Impfung gegen Risiko bei Infektion kannst du in den Beiträgen von @Muddi oben ab #115 nachlesen (inklusive Quellen).

  181. ‚@ haarigertroll:

    Was mich in der Hinsicht zugegebenermaßen etwas verunsichert ist die Tatsache dass ein Cousin von mir als sogenannter “Impfschaden” tatsächlich schwer behindert ist.

    In Deutschland wird jede Behinderung/schwere Erkrankung, deren erstmanifestation zeitlich auch nur einigermassen mit einer vorangegangenen Impfung korreliert, als Impfschaden anerkannt. Mit Kausalität hat das nichts zu tun.

    Impfen, vor allem die modernen Vielfachimpfungen, könnte den kindlichen Organismus durch die hervorgerufene Immunreaktion überlasten und damit lebensgefährliche Schockzustände verursachen.

    Ganz im Gegenteil: die Mehrfachimpfungen sind für den kindlichen Körper sogar weit weniger belastend als mehrere Einzelimpfungen.

  182. ‚@noch’n Flo:
    „In Deutschland wird jede Behinderung/schwere Erkrankung, deren erstmanifestation zeitlich auch nur einigermassen mit einer vorangegangenen Impfung korreliert, als Impfschaden anerkannt. Mit Kausalität hat das nichts zu tun.“

    Gut zu wissen, danke!

  183. ‚@ haarigertroll:

    Deshalb hält sich ja unter Impfgegnern das Gerücht, Impfungen würden Epilepsie auslösen, so hartnäckig. Einige Epilepsieformen manifestieren sich nämlich bereits im ersten Lebensjahr – und da dort mit 2, 4, 6 und 12 Monaten geimpft wird, ist die Wahrscheinlichkeit einer engen zeitlichen Korrelation des ersten epileptischen Anfalls mit einer Impfung recht hoch. Weshalb viele Fälle von Epilepsie immer wieder als Impfschaden anerkannt werden, obgleich wissenschaftlich kein Zusammenhang nachgewiesen ist. Aber allein die Anerkennung durch die Versorgungsämter reicht den Impfgegnern als „Beweis“.

Schreibe einen Kommentar

Deine E-Mail-Adresse wird nicht veröffentlicht. Erforderliche Felder sind mit * markiert